-
分类: 科研抗体货号: P34873别名: Mitogen-activated protein kinase kinase kinase kinase 3, Germinal center kinase-related protein kinase, GLK, MAPK/ERK kinase kinase kinase 3, MEK kinase kinase 3, MEKKK 3, Map4k3应用: WB反应种属: Human, Mouse, Rat
-
分类: 科研抗体货号: P34857别名: Sulfotransferase 1A1, ST1A1, 2.8.2.1, Aryl sulfotransferase 1, HAST1/HAST2, Phenol sulfotransferase 1, Phenol-sulfating phenol sulfotransferase 1, P-PST 1, ST1A3, Thermostable phenol sulfotransferase, Ts-PST, SULT1A1, STP, STP1应用: WB反应种属: Human, Mouse, Rat
-
分类: 科研抗体货号: P34872别名: Histone-lysine N-methyltransferase SETD1B, Lysine N-methyltransferase 2G, SET domain-containing protein 1B, hSET1B, SETD1B, KIAA1076, KMT2G, SET1B应用: WB反应种属: Human, Mouse, Rat
-
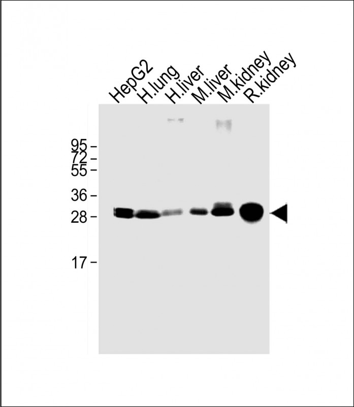
分类: 科研抗体货号: P34856别名: Small ubiquitin-related modifier 4, SUMO-4, Small ubiquitin-like protein 4, SUMO4, SMT3H4应用: WB反应种属: Human
-
分类: 科研抗体货号: P34871别名: Voltage-dependent calcium channel gamma-8 subunit, Neuronal voltage-gated calcium channel gamma-8 subunit, Transmembrane AMPAR regulatory protein gamma-8, TARP gamma-8, CACNG8, CACNG6应用: WB反应种属: Human, Mouse, Rat
-
分类: 科研抗体货号: P34855别名: Cyclin-T1, CycT1, Cyclin-T, CCNT1应用: WB反应种属: Human, Mouse
-
分类: 科研抗体货号: P34870别名: Group IID secretory phospholipase A2, GIID sPLA2, sPLA2-IID, PLA2IID, Phosphatidylcholine 2-acylhydrolase 2D, Secretory-type PLA, stroma-associated homolog, PLA2G2D, SPLASH应用: WB反应种属: Human
-
分类: 科研抗体货号: P34854别名: Muellerian-inhibiting factor, Anti-Muellerian hormone, AMH, Muellerian-inhibiting substance, MIS, AMH, MIF应用: WB反应种属: Human, Mouse
-
分类: 科研抗体货号: P34869别名: La-related protein 6, Acheron, Achn, La ribonucleoprotein domain family member 6, LARP6应用: WB反应种属: Human, Mouse, Rat
-
分类: 科研抗体货号: P34853别名: Copper-transporting ATPase 2, Copper pump 2, Wilson disease-associated protein, WND/140 kDa, ATP7B, PWD, WC1, WND应用: WB反应种属: Human, Mouse, Rat
鄂公网安备42018502007531号

