产品中心
PRODUCT CENTER
首页 » 产品中心 » 抗体 » 科研抗体 »
  • 分类: 科研抗体
    货号: P34842
    别名: Atrial natriuretic peptide receptor 1, Atrial natriuretic peptide receptor type A, ANP-A, ANPR-A, NPR-A, Guanylate cyclase A, GC-A, Npr1, Npra
    应用: WB,IHC
    反应种属: Mouse
  • 分类: 科研抗体
    货号: P34851
    别名: Interferon-induced protein 44-like, IFI44L, C1orf29
    应用: WB
    反应种属: Human
  • 分类: 科研抗体
    货号: P34841
    别名: Testis-specific Y-encoded-like protein 5, TSPY-like protein 5, TSPYL5, KIAA1750
    应用: WB
    反应种属: Human, Mouse, Rat
  • 分类: 科研抗体
    货号: P34850
    别名: NEDD4 family-interacting protein 1, Breast cancer-associated protein SGA-1M, NEDD4 WW domain-binding protein 5, Putative MAPK-activating protein PM13, Putative NF-kappa-B-activating protein 164, Putative NFKB and MAPK-activating protein, NDFIP1, N4WBP5
    应用: WB
    反应种属: Human, Mouse, Rat
  • 分类: 科研抗体
    货号: P34838
    别名: NADH-ubiquinone oxidoreductase chain 3, NADH dehydrogenase subunit 3, MT-ND3, MTND3, NADH3, ND3
    应用: WB
    反应种属: Human
  • 分类: 科研抗体
    货号: P34865
    别名: Epsin-2, EPS-15-interacting protein 2, EPN2, KIAA1065
    应用: WB
    反应种属: Human, Mouse, Rat
  • 分类: 科研抗体
    货号: P34849
    别名: HERV-H LTR-associating protein 2, Human endogenous retrovirus-H long terminal repeat-associating protein 2, HHLA2
    应用: WB,FCM
    反应种属: Human
  • 分类: 科研抗体
    货号: P34837
    别名: Sterol regulatory element-binding protein cleavage-activating protein, SCAP, SREBP cleavage-activating protein, SCAP, KIAA0199
    应用: WB
    反应种属: Human, Mouse, Rat
  • 分类: 科研抗体
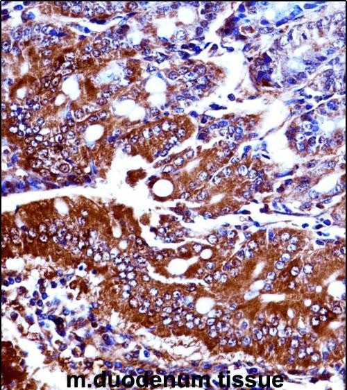
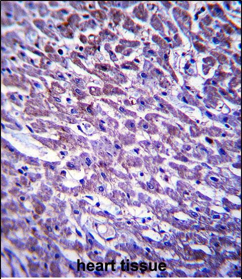
    货号: P34864
    别名: Xin actin-binding repeat-containing protein 1, Cardiomyopathy-associated protein 1, XIRP1, CMYA1, XIN
    应用: WB,IHC
    反应种属: Human
  • 分类: 科研抗体
    货号: P34836
    别名: Otopetrin-1, OTOP1
    应用: WB
    反应种属: Human, Mouse, Rat
联系我们
  • 电话:17771420241 18911818852
  • 联系人:刘经理
  • 地址:湖北省武汉市东湖新技术开发区高新大道666号光谷生物城C6栋C6403、C6404
微信公众号
版权所有 © 武汉博开生物科技有限公司  备案编号:鄂ICP备2024052832号-1鄂公网安备42018502007531号
17771420241 18911818852