-
分类: 科研抗体货号: P34774别名: Prolactin, PRL, PRL应用: WB,IHC反应种属: Human
-
分类: 科研抗体货号: P34784别名: Sulfotransferase family cytosolic 2B member 1, ST2B1, Sulfotransferase 2B1, 2.8.2.2, Alcohol sulfotransferase, Hydroxysteroid sulfotransferase 2, SULT2B1, HSST2应用: WB反应种属: Human
-
分类: 科研抗体货号: P34789别名: Scavenger receptor cysteine-rich type 1 protein M160, CD163 antigen-like 1, CD163b, CD163L1, CD163B, M160应用: WB,IHC反应种属: Human
-
分类: 科研抗体货号: P34773别名: G-protein coupled estrogen receptor 1, Chemoattractant receptor-like 2, Flow-induced endothelial G-protein coupled receptor 1, FEG-1, G protein-coupled estrogen receptor 1, G-protein coupled receptor 30, GPCR-Br, IL8-related receptor DRY12, Lymphocyte-der应用: WB反应种属: Human, Mouse, Rat
-
分类: 科研抗体货号: P34783别名: Class E basic helix-loop-helix protein 41, bHLHe41, Class B basic helix-loop-helix protein 3, bHLHb3, Differentially expressed in chondrocytes protein 2, hDEC2, Enhancer-of-split and hairy-related protein 1, SHARP-1, BHLHE41, BHLHB3, DEC2, SHARP1应用: WB反应种属: Human, Mouse, Rat
-
分类: 科研抗体货号: P34782别名: F-box/LRR-repeat protein 5, F-box and leucine-rich repeat protein 5, F-box protein FBL4/FBL5, p45SKP2-like protein, FBXL5, FBL4, FBL5, FLR1应用: WB,IHC反应种属: Human, Mouse, Rat
-
分类: 科研抗体货号: P34800别名: von Willebrand factor, vWF, von Willebrand antigen 2, von Willebrand antigen II, VWF, F8VWF应用: WB反应种属: Human
-
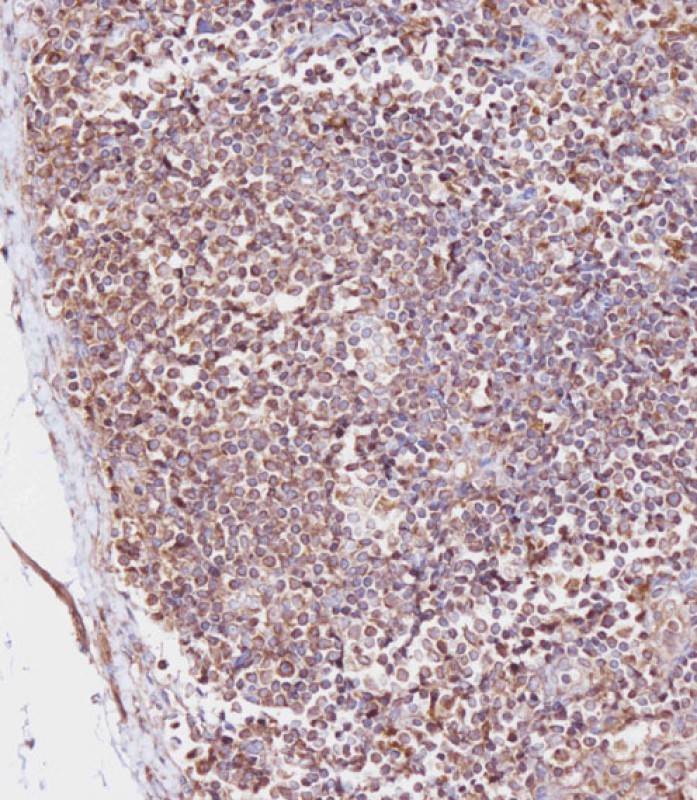
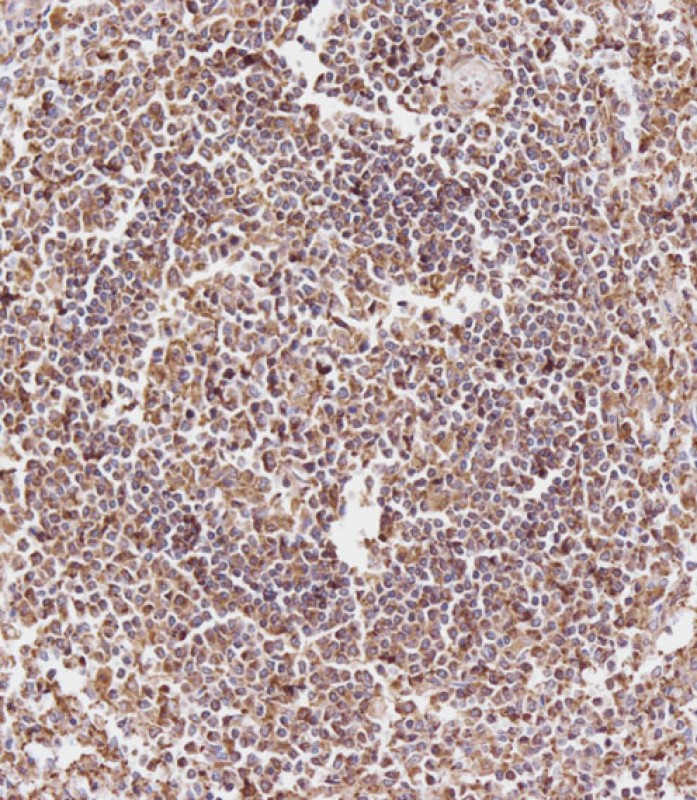
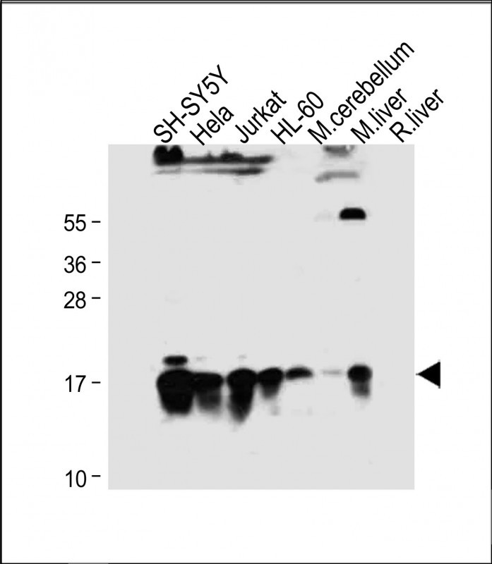
分类: 科研抗体货号: P34787别名: Small ubiquitin-related modifier 3, SUMO-3, SMT3 homolog 1 {ECO:0000312|HGNC:HGNC:11124}, SUMO-2, Ubiquitin-like protein SMT3A, Smt3A, SUMO3 (<a href="http://www.genenames.org/cgi-bin/gene_symbol_report?hgnc_id=11124" target="_blank">HGNC:11124</a>)应用: WB,IHC反应种属: Human, Mouse, Rat
-
分类: 科研抗体货号: P34798别名: Ras-specific guanine nucleotide-releasing factor 1, Ras-GRF1, Guanine nucleotide-releasing protein, GNRP, Ras-specific nucleotide exchange factor CDC25, RASGRF1, CDC25, GNRP, GRF1应用: WB反应种属: Human
鄂公网安备42018502007531号

