-
分类: 科研抗体货号: P34793别名: A disintegrin and metalloproteinase with thrombospondin motifs 17, ADAM-TS 17, ADAM-TS17, ADAMTS-17, 3424-, ADAMTS17应用: WB,IHC反应种属: Human
-
分类: 科研抗体货号: P34777别名: Thioredoxin-interacting protein, Vitamin D3 up-regulated protein 1, Txnip, Vdup1应用: WB,IHC反应种属: Human, Mouse, Rat
-
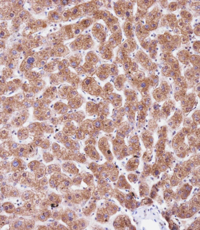
分类: 科研抗体货号: P34761别名: Phosphatidylethanolamine N-methyltransferase, PEAMT, PEMT, PEMT2, PEMT, PEMPT, PNMT应用: WB,IHC反应种属: Human, Mouse
-
分类: 科研抗体货号: P34792别名: Disco-interacting protein 2 homolog A, DIP2 homolog A, DIP2A, C21orf106, DIP2, KIAA0184应用: WB反应种属: Human, Mouse
-
分类: 科研抗体货号: P34776别名: Serine/threonine-protein kinase LATS2, Kinase phosphorylated during mitosis protein, Large tumor suppressor homolog 2, Serine/threonine-protein kinase kpm, Lats2 {ECO:0000312|EMBL:AAH530281}应用: WB,IHC反应种属: Mouse
-
分类: 科研抗体货号: P34760别名: Glutathione S-transferase A1, 2.5.1.18, GST HA subunit 1, GST class-alpha member 1, GST-epsilon, GSTA1-1, GTH1, Glutathione S-transferase A1, N-terminally processed, GSTA1应用: WB反应种属: Human, Mouse, Rat
-
分类: 科研抗体货号: P34791别名: Collagen alpha-1(VIII) chain, Endothelial collagen, Vastatin, COL8A1, C3orf7应用: WB反应种属: Human, Mouse, Rat
-
分类: 科研抗体货号: P34775别名: Cell differentiation protein RCD1 homolog, Rcd-1, CCR4-NOT transcription complex subunit 9, RQCD1, CNOT9, RCD1应用: WB反应种属: Human, Mouse, Rat
-
分类: 科研抗体货号: P34785别名: Methyltransferase-like protein 4, 211-, METTL4应用: WB,IHC,FCM反应种属: Human, Mouse, Rat
-
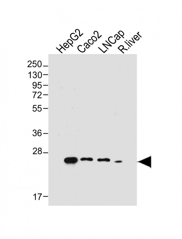
分类: 科研抗体货号: P34790别名: S-adenosylmethionine synthase isoform type-2, AdoMet synthase 2, Methionine adenosyltransferase 2, MAT 2, Methionine adenosyltransferase II, MAT-II, MAT2A, AMS2, MATA2应用: WB反应种属: Human, Mouse, Rat
鄂公网安备42018502007531号

