-
分类: 科研抗体货号: P34766别名: Dystrobrevin alpha, DTN-A, Alpha-dystrobrevin, Dystrophin-related protein 3, DTNA, DRP3应用: WB反应种属: Human, Mouse
-
分类: 科研抗体货号: P34765别名: WAP four-disulfide core domain protein 1, Prostate stromal protein ps20, ps20 growth inhibitor, WFDC1, PS20应用: WB反应种属: Human
-
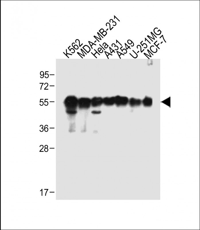
分类: 科研抗体货号: P34781别名: Heat shock 70 kDa protein 1A/1B, Heat shock 70 kDa protein 1/2, HSP70-1/HSP70-2, HSP701/HSP702, HSPA1A, HSPA1, HSX70应用: WB,IHC反应种属: Human, Mouse, Rat
-
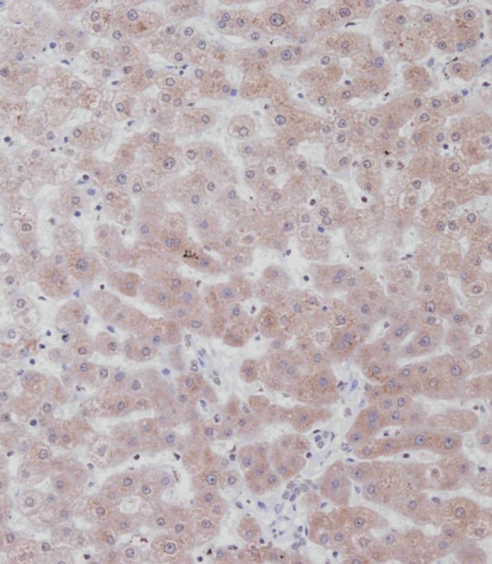
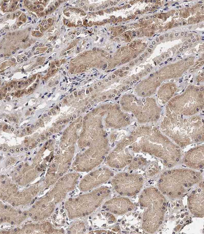
分类: 科研抗体货号: P34764别名: UDP-glucuronosyltransferase 2B15, UDPGT 2B15, HLUG4, UDP-glucuronosyltransferase 2B8, UDPGT 2B8, UDPGTh-3, UGT2B15, UGT2B8应用: WB,IHC反应种属: Human
-
分类: 科研抗体货号: P34795别名: Serotonin N-acetyltransferase, Serotonin acetylase, Aralkylamine N-acetyltransferase, AA-NAT, AANAT, SNAT应用: WB反应种属: Human
-
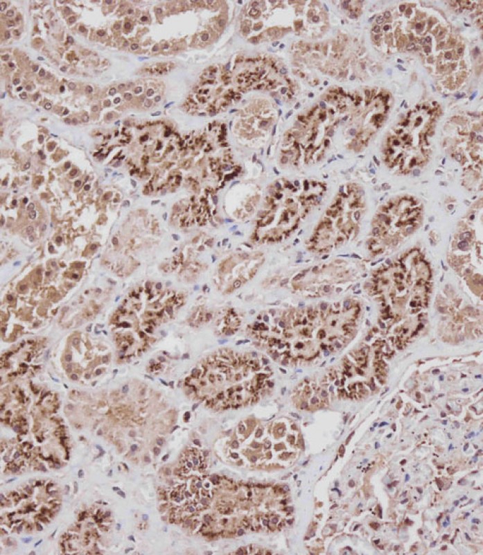
分类: 科研抗体货号: P34780别名: Tectonin beta-propeller repeat-containing protein 1, TECPR1, KIAA1358应用: WB,IHC反应种属: Human
-
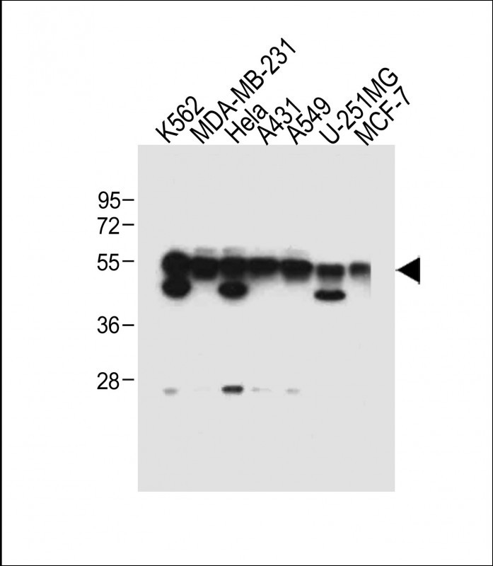
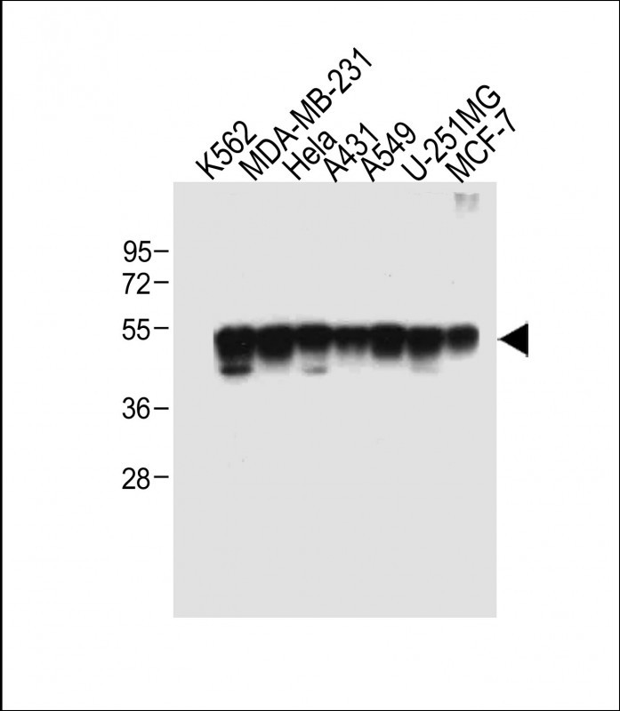
分类: 科研抗体货号: P34763别名: Tubulin beta-6 chain, Tubulin beta class V, TUBB6应用: WB反应种属: Human
-
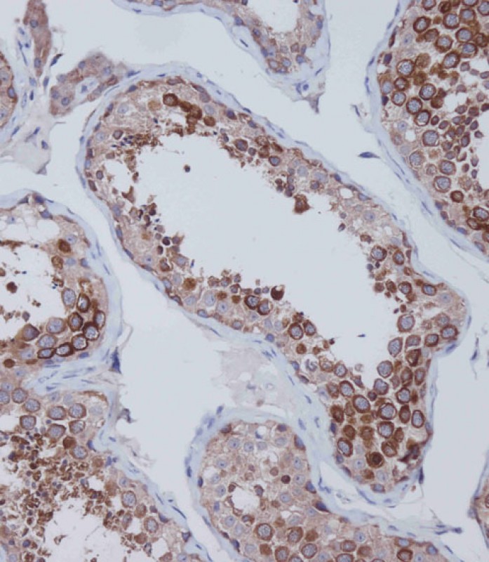
分类: 科研抗体货号: P34794别名: Protein quaking, Hqk, HqkI, QKI, HKQ应用: WB,IHC反应种属: Human, Mouse
-
分类: 科研抗体货号: P34778别名: Voltage-dependent anion-selective channel protein 2, VDAC-2, hVDAC2, Outer mitochondrial membrane protein porin 2, VDAC2应用: WB反应种属: Human, Mouse, Rat
-
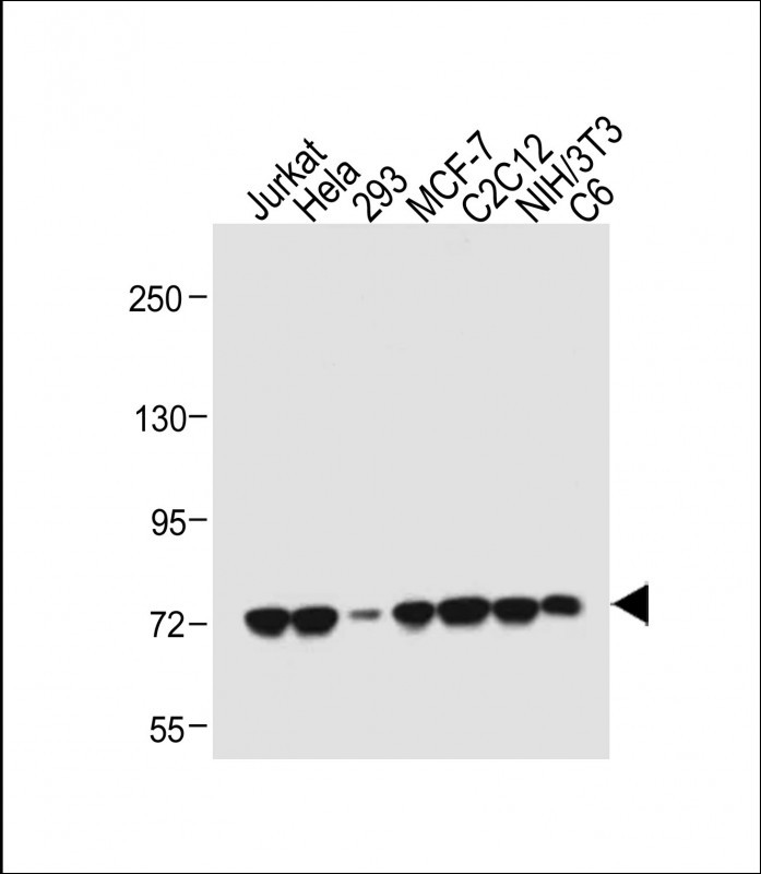
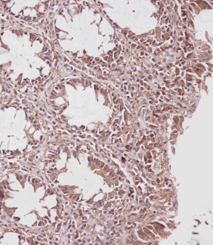
分类: 科研抗体货号: P34762别名: Histone deacetylase 6, HD6, HDAC6, KIAA0901应用: WB,IHC反应种属: Human, Mouse
鄂公网安备42018502007531号

