-
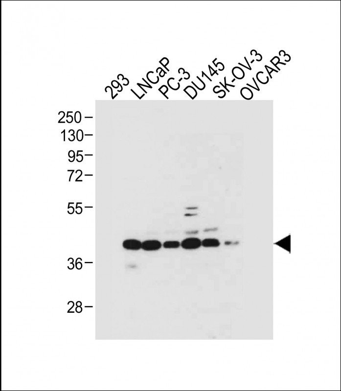
分类: 科研抗体货号: P34679别名: Macrophage colony-stimulating factor 1 receptor, CSF-1 receptor, CSF-1-R, CSF-1R, M-CSF-R, Proto-oncogene c-Fms, CD115, Csf1r, Csfmr, Fms应用: WB,IF反应种属: Mouse, Rat
-
分类: 科研抗体货号: P34680别名: Pro-neuregulin-1, membrane-bound isoform, Pro-NRG1, Neuregulin-1, Acetylcholine receptor-inducing activity, ARIA, Breast cancer cell differentiation factor p45, Glial growth factor, Heregulin, HRG, Neu differentiation factor, Sensory and motor neuron-deri应用: WB反应种属: Human
-
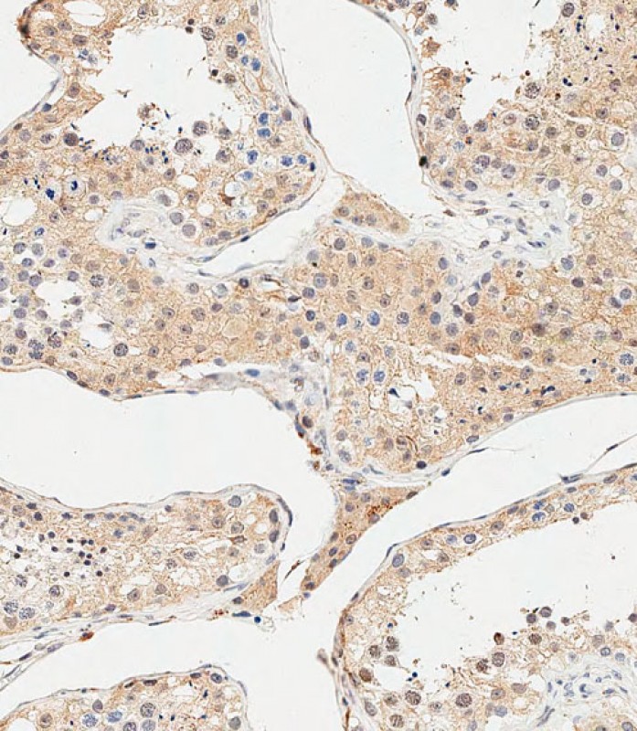
分类: 科研抗体货号: P34695别名: Anti-Muellerian hormone type-2 receptor, Anti-Muellerian hormone type II receptor, AMH type II receptor, MIS type II receptor, MISRII, MRII, AMHR2, AMHR, MISR2应用: WB,IHC反应种属: Human, Mouse, Rat
-
分类: 科研抗体货号: P34678别名: NACHT, LRR and PYD domains-containing protein 6, Angiotensin II/vasopressin receptor, PYRIN-containing APAF1-like protein 5, NLRP6, NALP6, PYPAF5应用: WB反应种属: Human
-
分类: 科研抗体货号: P34694别名: Semaphorin-5A, Semaphorin-F, Sema F, SEMA5A, SEMAF应用: WB反应种属: Human, Mouse, Rat
-
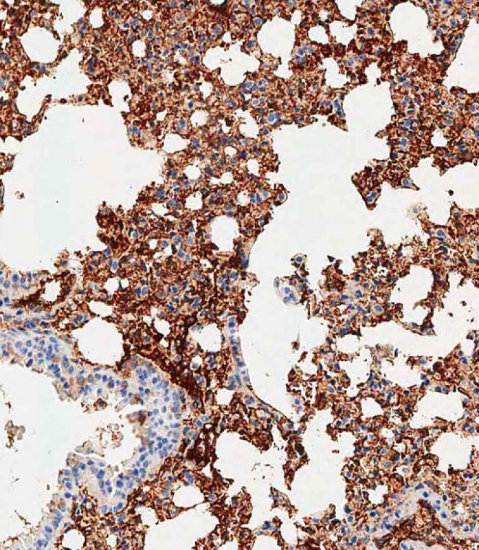
分类: 科研抗体货号: P34677别名: Multidrug resistance-associated protein 9, ATP-binding cassette sub-family C member 12, ABCC12, MRP9应用: WB,IHC反应种属: Human, Mouse, Rat
-
分类: 科研抗体货号: P34692别名: TRAF2 and NCK-interacting protein kinase, 2.7.11.1, TNIK, KIAA0551应用: WB反应种属: Human, Mouse
-
分类: 科研抗体货号: P34676别名: Stimulated by retinoic acid gene 8 protein homolog, STRA8 {ECO:0000312|EMBL:AAP471631}应用: WB,IHC反应种属: Human
-
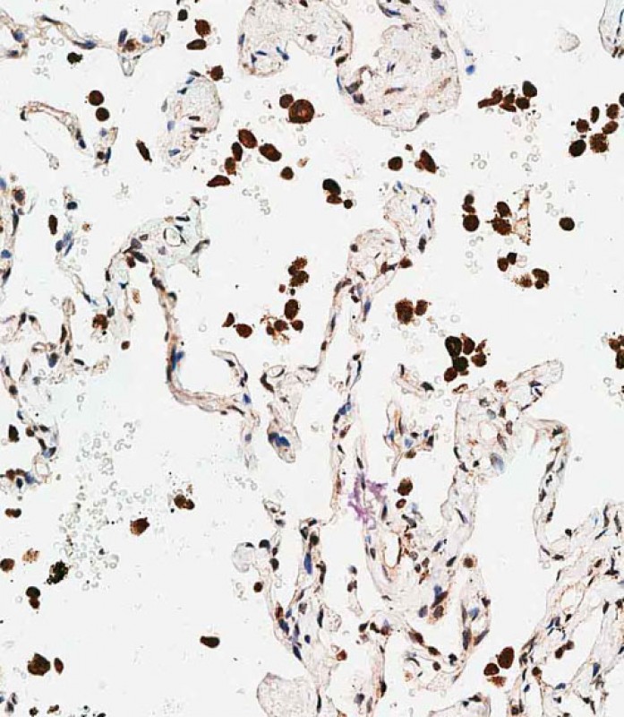
分类: 科研抗体货号: P34691别名: Triggering receptor expressed on myeloid cells 2, TREM-2, Triggering receptor expressed on monocytes 2, Trem2, Trem2a, Trem2b, Trem2c应用: WB,IHC反应种属: Mouse
-
分类: 科研抗体货号: P34703别名: Solute carrier organic anion transporter family member 1B1, Liver-specific organic anion transporter 1, LST-1, OATP-C, Sodium-independent organic anion-transporting polypeptide 2, OATP-2, Solute carrier family 21 member 6, SLCO1B1, LST1, OATP1B1, OATP2, O应用: WB反应种属: Human
鄂公网安备42018502007531号

