-
分类: 科研抗体货号: P34688别名: Lysophosphatidic acid receptor 6, LPA receptor 6, LPA-6, Oleoyl-L-alpha-lysophosphatidic acid receptor, P2Y purinoceptor 5, P2Y5, Purinergic receptor 5, RB intron encoded G-protein coupled receptor, LPAR6, P2RY5应用: WB反应种属: Human, Mouse, Rat
-
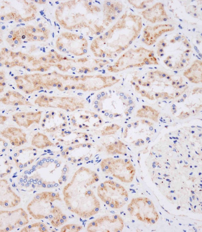
分类: 科研抗体货号: P34671别名: Sialidase-2, Cytosolic sialidase, N-acetyl-alpha-neuraminidase 2, NEU2应用: WB,IHC反应种属: Human, Mouse
-
分类: 科研抗体货号: P34654别名: OTU domain-containing protein 3, OTUD3, KIAA0459应用: WB反应种属: Human
-
分类: 科研抗体货号: P34670别名: Type III iodothyronine deiodinase, 5DIII, DIOIII, Type 3 DI, Type-III 5'-deiodinase, DIO3, ITDI3, TXDI3应用: WB反应种属: Human, Mouse, Rat
-
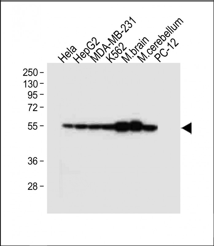
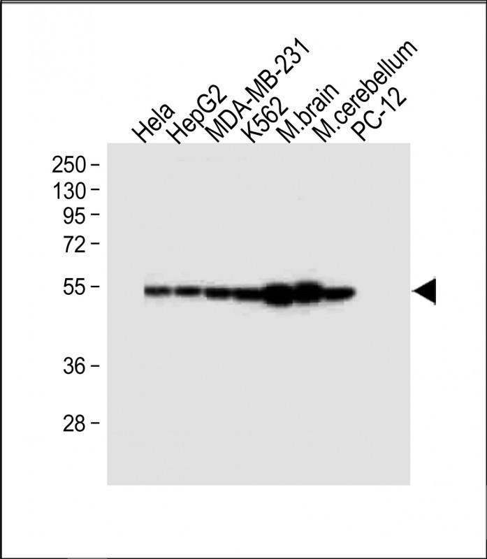
分类: 科研抗体货号: P34686别名: Polyubiquitin-C, Ubiquitin, UBC应用: WB反应种属: Human, Mouse, Rat
-
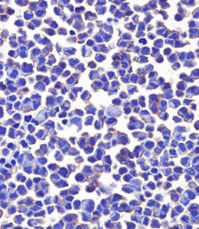
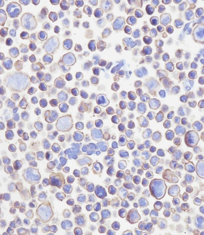
分类: 科研抗体货号: P34653别名: CD276 antigen, 4Ig-B7-H3, B7 homolog 3, B7-H3, Costimulatory molecule, CD276, CD276, B7H3应用: WB,IHC反应种属: Human, Mouse, Rat
-
分类: 科研抗体货号: P34669别名: Glutaredoxin-2, mitochondrial, GLRX2, GRX2应用: WB反应种属: Human, Mouse, Rat
-
分类: 科研抗体货号: P34651别名: Bleomycin hydrolase, BH, BLM hydrolase, BMH, BLMH应用: WB反应种属: Human, Mouse, Rat
-
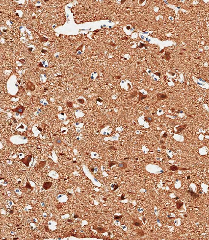
分类: 科研抗体货号: P34685别名: Tubulin beta-2B chain, TUBB2B应用: WB,IHC反应种属: Human, Mouse, Rat
-
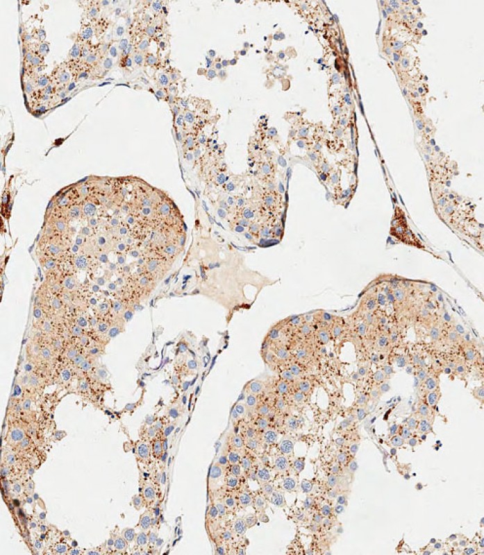
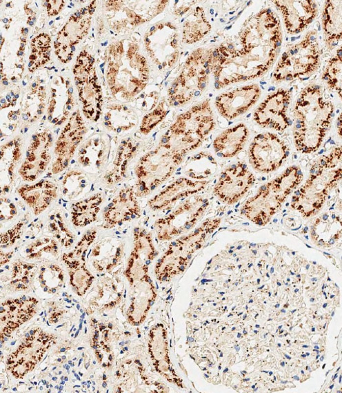
分类: 科研抗体货号: P34667别名: Lysosomal protective protein, Carboxypeptidase C, Carboxypeptidase L, Cathepsin A, Protective protein cathepsin A, PPCA, Protective protein for beta-galactosidase, Lysosomal protective protein 32 kDa chain, Lysosomal protective protein 20 kDa chain, CTSA,应用: WB,IHC反应种属: Human, Mouse
鄂公网安备42018502007531号

