-
分类: 科研抗体货号: P34625别名: 25-hydroxyvitamin D-1 alpha hydroxylase, mitochondrial, 1.14.13.13, 25-OHD-1 alpha-hydroxylase, 25-hydroxyvitamin D(3) 1-alpha-hydroxylase, VD3 1A hydroxylase, Calcidiol 1-monooxygenase, Cytochrome P450 subfamily XXVIIB polypeptide 1, Cytochrome P450C1 al应用: WB反应种属: Human, Mouse, Rat
-
分类: 科研抗体货号: P34626别名: Proline-rich AKT1 substrate 1, 40 kDa proline-rich AKT substrate, AKT1S1 {ECO:0000312|EMBL:AAH16043.1}应用: WB反应种属: Human, Mouse
-
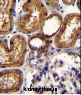
分类: 科研抗体货号: P34642别名: Solute carrier family 23 member 1, Na(+)/L-ascorbic acid transporter 1, Sodium-dependent vitamin C transporter 1, hSVCT1, Yolk sac permease-like molecule 3, SLC23A1, SVCT1, YSPL3应用: WB,IHC反应种属: Human
-
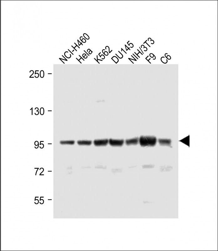
分类: 科研抗体货号: P34623别名: ATP-binding cassette sub-family F member 1, ATP-binding cassette 50, TNF-alpha-stimulated ABC protein, ABCF1, ABC50应用: WB反应种属: Human, Mouse, Rat
-
分类: 科研抗体货号: P34641别名: Sestrin-3, SESN3, SEST3应用: WB,IHC反应种属: Human, Mouse
-
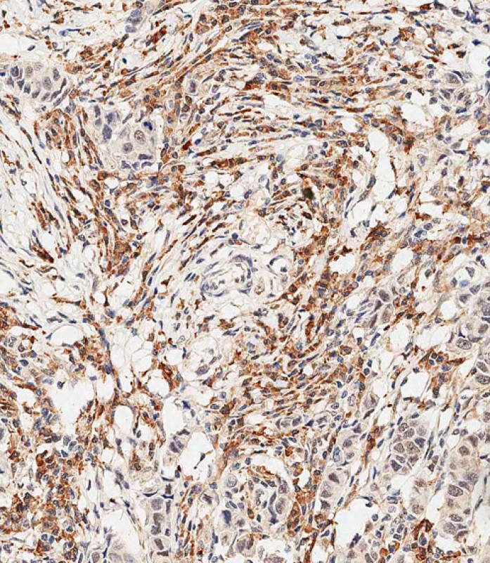
分类: 科研抗体货号: P34622别名: Fibroblast growth factor receptor 2, FGFR-2, K-sam, KGFR, Keratinocyte growth factor receptor, CD332, FGFR2, BEK, KGFR, KSAM应用: WB,IHC反应种属: Human, Mouse
-
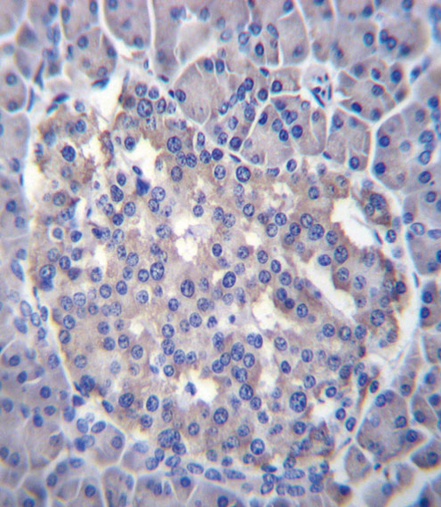
分类: 科研抗体货号: P34639别名: Wilms tumor protein, WT33, WT1应用: WB,IHC,IF,FCM反应种属: Human, Mouse, Rat
-
分类: 科研抗体货号: P34638别名: Krueppel-like factor 4, Epithelial zinc finger protein EZF, Gut-enriched krueppel-like factor, KLF4, EZF, GKLF应用: WB反应种属: Human, Mouse
-
分类: 科研抗体货号: P34619别名: Zinc finger protein GLI2, GLI family zinc finger protein 2 {ECO:0000312|HGNC:HGNC:4318}, Tax helper protein, GLI2 (<a href="http://www.genenames.org/cgi-bin/gene_symbol_report?hgnc_id=4318" target="_blank">HGNC:4318</a>)应用: WB反应种属: Human
鄂公网安备42018502007531号

