产品中心
PRODUCT CENTER
首页 » 产品中心 » 抗体 » 科研抗体 »
  • 分类: 科研抗体
    货号:
    别名:
    应用:
    反应种属:
  • 分类: 科研抗体
    货号: P34596
    别名: Neutrophil defensin 1, Defensin, alpha 1, HNP-1, HP-1, HP1, HP 1-56, Neutrophil defensin 2, HNP-2, HP-2, HP2, DEFA1, DEF1, DEFA2, MRS
    应用: WB
    反应种属: Human
  • 分类: 科研抗体
    货号: P34630
    别名: Histone-lysine N-methyltransferase 2D, Lysine N-methyltransferase 2D, ALL1-related protein, Myeloid/lymphoid or mixed-lineage leukemia protein 2, KMT2D, ALR, MLL2, MLL4
    应用: RWB
    反应种属: Human, Mouse
  • 分类: 科研抗体
    货号: P34612
    别名: F-box/LRR-repeat protein 2, F-box and leucine-rich repeat protein 2 {ECO:0000312|HGNC:HGNC:13598}, F-box protein FBL2/FBL3 {ECO:0000303|PubMed:10945468, ECO:0000312|EMBL:AAF045101}, FBXL2 (<a href="http://www.genenames.org/cgi-bin/gene_symbol_report?hgnc_
    应用: WB,IHC,FCM
    反应种属: Human, Mouse, Rat
  • 分类: 科研抗体
    货号: P34594
    别名: Alpha-1D adrenergic receptor, Alpha-1A adrenergic receptor, Alpha-1D adrenoreceptor, Alpha-1D adrenoceptor, Alpha-adrenergic receptor 1a, ADRA1D, ADRA1A
    应用: WB,FCM
    反应种属: Human, Mouse, Rat
  • 分类: 科研抗体
    货号: P34610
    别名: Heat shock 70 kDa protein 1A/1B, Heat shock 70 kDa protein 1/2, HSP70-1/HSP70-2, HSP70.1/HSP70.2, HSPA1A, HSPA1, HSX70
    应用: WB
    反应种属: Human, Mouse, Rat
  • 分类: 科研抗体
    货号: P34629
    别名: M-phase inducer phosphatase 1, 3.1.3.48, Dual specificity phosphatase Cdc25A, CDC25A
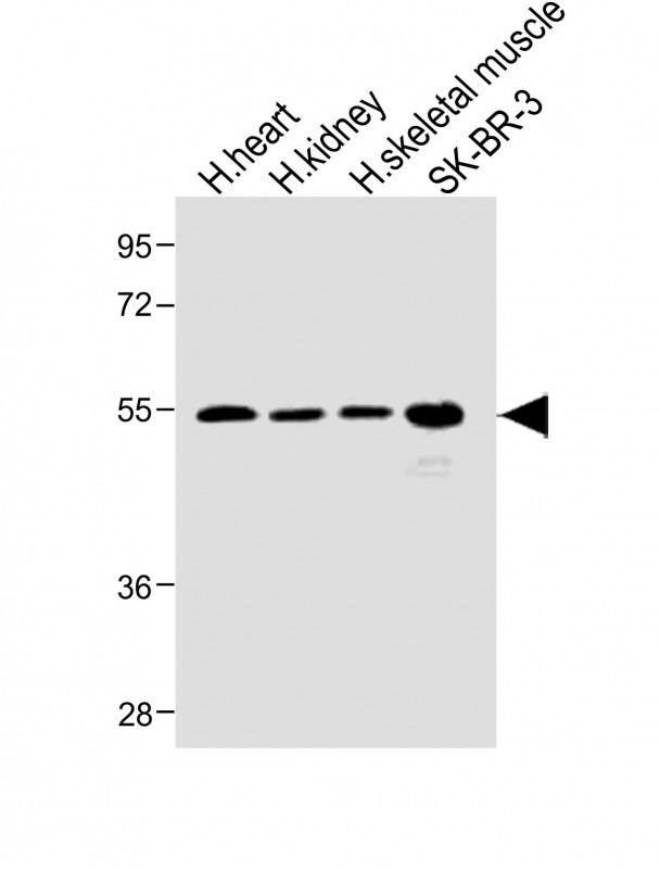
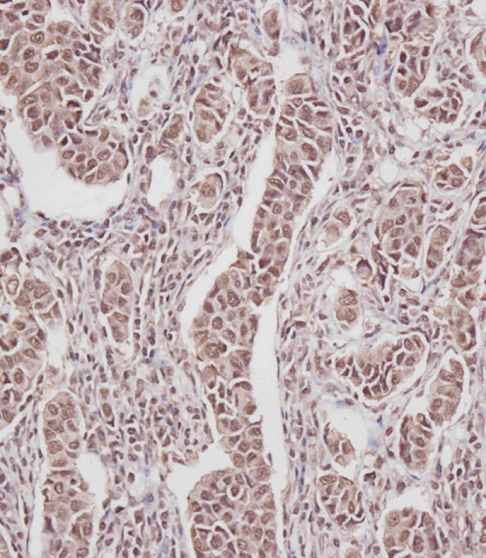
    应用: WB,IHC
    反应种属: Human, Mouse, Rat
  • 分类: 科研抗体
    货号: P34593
    别名: Protein spinster homolog 2, SPNS2
    应用: WB,FCM
    反应种属: Human, Mouse
  • 分类: 科研抗体
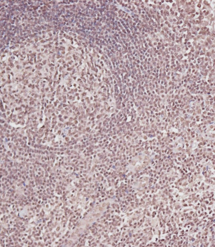
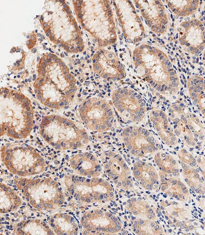
    货号: P34609
    别名: Deoxyribonuclease-1, Deoxyribonuclease I, DNase I, Dornase alfa, DNASE1, DNL1, DRNI
    应用: WB,IHC
    反应种属: Human, Mouse
  • 分类: 科研抗体
    货号: P34627
    别名: 60S ribosomal protein L10, Laminin receptor homolog, Protein QM, Tumor suppressor QM, RPL10, DXS648E, QM
    应用: WB
    反应种属: Human, Mouse, Rat
联系我们
  • 电话:17771420241 18911818852
  • 联系人:刘经理
  • 地址:湖北省武汉市东湖新技术开发区高新大道666号光谷生物城C6栋C6403、C6404
微信公众号
版权所有 © 武汉博开生物科技有限公司  备案编号:鄂ICP备2024052832号-1鄂公网安备42018502007531号
17771420241 18911818852