-
分类: 科研抗体货号: P34529别名: Spondin-1, F-spondin, Vascular smooth muscle cell growth-promoting factor, SPON1, KIAA0762, VSGP应用: WB反应种属: Human, Mouse, Rat
-
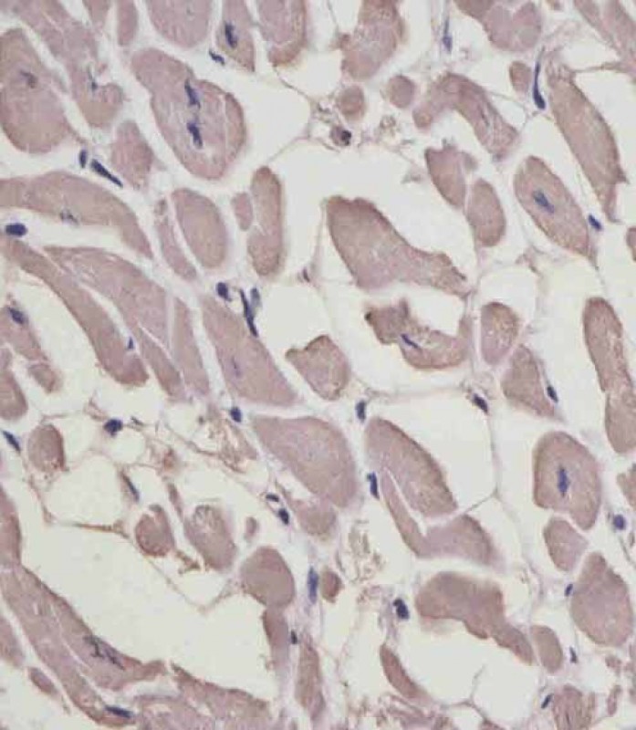
分类: 科研抗体货号: P34512别名: Myosin light chain 1/3, skeletal muscle isoform, MLC1/MLC3, MLC1F/MLC3F, Myosin light chain alkali 1/2, Myosin light chain A1/A2, MYL1应用: WB,IHC,IF,FCM反应种属: Human, Mouse, Rat
-
分类: 科研抗体货号: P34528别名: Canalicular multispecific organic anion transporter 2, ATP-binding cassette sub-family C member 3, Multi-specific organic anion transporter D, MOAT-D, Multidrug resistance-associated protein 3, ABCC3, CMOAT2, MLP2, MRP3应用: WB反应种属: Human
-
分类: 科研抗体货号: P34511别名: DnaJ homolog subfamily C member 3, Endoplasmic reticulum DNA J domain-containing protein 6, ER-resident protein ERdj6, ERdj6, Interferon-induced, double-stranded RNA-activated protein kinase inhibitor, Protein kinase inhibitor of 58 kDa, Protein kinase in应用: WB,FCM反应种属: Human, Mouse, Rat
-
分类: 科研抗体货号: P34527别名: Tubulin gamma-2 chain, Gamma-2-tubulin, Tubg2应用: WB,FCM反应种属: Human, Mouse
-
分类: 科研抗体货号: P34510别名: SH2B adapter protein 3, Lymphocyte adapter protein, Lymphocyte-specific adapter protein Lnk, Signal transduction protein Lnk, SH2B3, LNK应用: WB,FCM反应种属: Human
-
分类: 科研抗体货号: P34526别名: Tubulin beta-2A chain, Tubb2a, Tubb2应用: WB,IF,FCM反应种属: Human, Mouse, Rat
-
分类: 科研抗体货号: P34509别名: Protein transport protein Sec24B, SEC24-related protein B, SEC24B应用: WB,FCM反应种属: Human
-
分类: 科研抗体货号: P34525别名: Grancalcin, GCA, GCL应用: WB,IF,FCM反应种属: Human
-
分类: 科研抗体货号: P34508别名: C-C motif chemokine 26, CC chemokine IMAC, Eotaxin-3, Macrophage inflammatory protein 4-alpha, MIP-4-alpha, Small-inducible cytokine A26, Thymic stroma chemokine-1, TSC-1, CCL26, SCYA26应用: WB,FCM反应种属: Human
鄂公网安备42018502007531号

