-
分类: 科研抗体货号: P34291别名: Mitogen-activated protein kinase 11, MAP kinase 11, MAPK 11, 2.7.11.24, Mitogen-activated protein kinase p38 beta, MAP kinase p38 beta, p38b, Stress-activated protein kinase 2b, SAPK2b, p38-2, MAPK11, PRKM11, SAPK2, SAPK2B应用: WB反应种属: Human, Mouse
-
分类: 科研抗体货号: P34275别名: DNA helicase MCM9, hMCM9, Mini-chromosome maintenance deficient domain-containing protein 1, Minichromosome maintenance 9, MCM9, C6orf61, MCMDC1应用: WB反应种属: Human
-
分类: 科研抗体货号: P34290别名: Drebrin, Developmentally-regulated brain protein, DBN1, D0S117E应用: WB反应种属: Human, Mouse, Rat
-
分类: 科研抗体货号: P34299别名: Tag from c-Myc protein应用: WB反应种属:
-
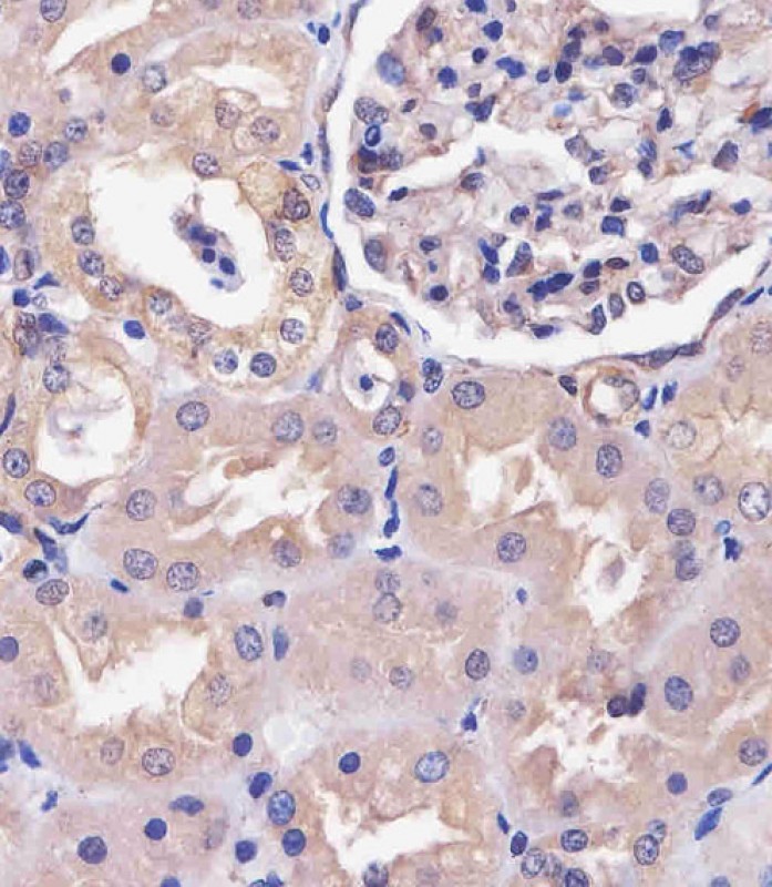
分类: 科研抗体货号: P34289别名: COP9 signalosome complex subunit 7b, SGN7b, Signalosome subunit 7b, JAB1-containing signalosome subunit 7b, COPS7B, CSN7B应用: WB,IHC,FCM反应种属: Human, Mouse
-
分类: 科研抗体货号: P34298别名: Dual specificity protein phosphatase 22-A, dusp22a {ECO:0000312|ZFIN:ZDB-GENE-040718-219}应用: WB反应种属: zebrafish
-
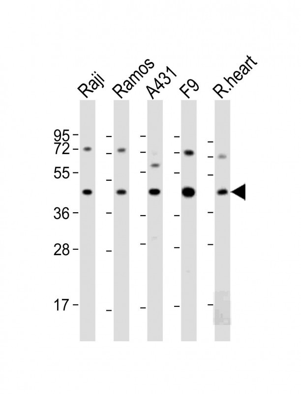
分类: 科研抗体货号: P34288别名: Lymphocyte cytosolic protein 2, SH2 domain-containing leukocyte protein of 76 kDa, SLP-76 tyrosine phosphoprotein, SLP76, LCP2应用: WB反应种属: Human, Mouse
-
分类: 科研抗体货号: P34297别名: Conserved oligomeric Golgi complex subunit 2, COG complex subunit 2, Component of oligomeric Golgi complex 2, Low density lipoprotein receptor defect C-complementing protein, COG2, LDLC应用: WB,IHC,FCM反应种属: Human, Mouse, Rat
-
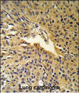
分类: 科研抗体货号: P34313别名: Induced myeloid leukemia cell differentiation protein Mcl-1, Bcl-2-like protein 3, Bcl2-L-3, Bcl-2-related protein EAT/mcl1, mcl1/EAT, MCL1, BCL2L3应用: WB,IHC,FCM反应种属: Human, Mouse, Rat
-
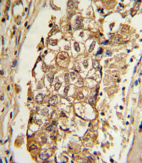
分类: 科研抗体货号: P34296别名: Mitogen-activated protein kinase kinase kinase 9, Mixed lineage kinase 1, MAP3K9, MLK1, PRKE1应用: WB,IHC反应种属: Human, Mouse
鄂公网安备42018502007531号

