-
分类: 科研抗体货号: P34232别名: Cysteine protease ATG4B, 3422-, Autophagy-related protein 4 homolog B, atg4b, apg4b应用: WB反应种属: Human,Mouse,zebrafish,
-
分类: 科研抗体货号: P34230别名: Guanine nucleotide-binding protein G(I)/G(S)/G(T) subunit beta-1, Transducin beta chain 1, gnb1应用: WB反应种属: zebrafish
-
分类: 科研抗体货号: P34247别名: Olfactory receptor 6C4, Olfactory receptor OR12-10, OR6C4应用: WB,FCM反应种属: Human
-
分类: 科研抗体货号: P34229别名: Protein HEG, Heart of glass, heg应用: WB反应种属: zebrafish
-
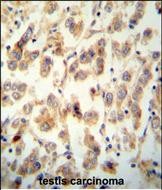
分类: 科研抗体货号: P34246别名: Olfactory receptor 8B8, Olfactory receptor TPCR85, Olfactory-like receptor JCG8, OR8B8应用: WB,IHC反应种属: Human
-
分类: 科研抗体货号: P34228别名: 14-3-3 protein gamma-1, ywhag1, ywhag应用: WB反应种属: zebrafish
-
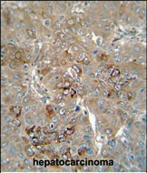
分类: 科研抗体货号: P34245别名: Putative inactive carboxylesterase 4, Inactive carboxylesterase 1 pseudogene 1, Placental carboxylesterase 3, PCE-3, CES1P1, CES4应用: WB,IHC反应种属: Human
-
分类: 科研抗体货号: P34227别名: Homeobox protein Hox-D11a, Hox-D11, Homeobox protein Hox-C11, hoxd11a, hoxc11, hoxd11应用: WB反应种属: zebrafish
-
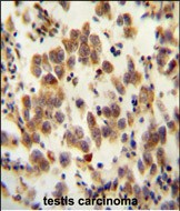
分类: 科研抗体货号: P34244别名: Tetratricopeptide repeat protein 16, TPR repeat protein 16, TTC16应用: WB,IHC,FCM反应种属: Human
鄂公网安备42018502007531号

