-
分类: 科研抗体货号: P34053别名: POU domain, class 3, transcription factor 3-A, Brain-specific homeobox/POU domain protein 11, Brain-11, zfBrn-11, Class III POU domain protein taichi, POU domain protein 12, ZP-12, pou3f3a, brn-11, brn11, pou12, tai-ji, zp12, zp12pou应用: WB反应种属: Human, zebrafish
-
分类: 科研抗体货号: P34052别名: MAPK-interacting and spindle-stabilizing protein-like, Mitogen-activated protein kinase 1-interacting protein 1-like, MAPK1IP1L, C14orf32应用: WB,IHC反应种属: Human
-
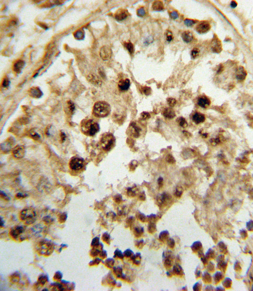
分类: 科研抗体货号: P34074别名: Speriolin, Spermatogenesis and centriole-associated protein 1, Spermatogenesis-associated protein 15, Spermatogenic cell-specific Cdc20-binding protein, SPATC1, SPATA15, SPRN应用: WB,IHC反应种属: Human, Mouse
-
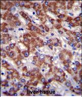
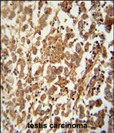
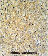
分类: 科研抗体货号: P34051别名: Testosterone 17-beta-dehydrogenase 3, 17-beta-hydroxysteroid dehydrogenase type 3, 17-beta-HSD 3, Testicular 17-beta-hydroxysteroid dehydrogenase, HSD17B3, EDH17B3应用: WB,IHC,FCM反应种属: Human
-
分类: 科研抗体货号: P34072别名: Eukaryotic translation initiation factor 2-alpha kinase 3, 2.7.11.1, PRKR-like endoplasmic reticulum kinase, Pancreatic eIF2-alpha kinase, HsPEK, EIF2AK3, PEK, PERK应用: WB反应种属: Human, Mouse, Rat
-
分类: 科研抗体货号: P34083别名: Olfactory receptor 2B11, OR2B11应用: WB,IHC,FCM反应种属: Human
-
分类: 科研抗体货号: P34071别名: Interferon beta, IFN-beta, Fibroblast interferon, IFNB1, IFB, IFNB应用: WB反应种属: Human
-
分类: 科研抗体货号: P34082别名: Zinc finger protein 813, ZNF813应用: WB反应种属: Human
-
分类: 科研抗体货号: P34069别名: Ras-related protein Rab-20, RAB20应用: WB,FCM反应种属: Human, Mouse
-
分类: 科研抗体货号: P34081别名: Ribosomal protein S6 kinase-like 1, RPS6KL1应用: WB反应种属: Human
鄂公网安备42018502007531号

