-
分类: 科研抗体货号: P34035别名: Palmitoyltransferase ZDHHC18, 2.3.1.225, Zinc finger DHHC domain-containing protein 18, DHHC-18, ZDHHC18应用: WB反应种属: Human, Mouse, Rat
-
分类: 科研抗体货号: P34034别名: Hexosaminidase D, 3.2.1.52, Beta-N-acetylhexosaminidase, Beta-hexosaminidase D, Hexosaminidase domain-containing protein, N-acetyl-beta-galactosaminidase, HEXDC应用: WB反应种属: Human
-
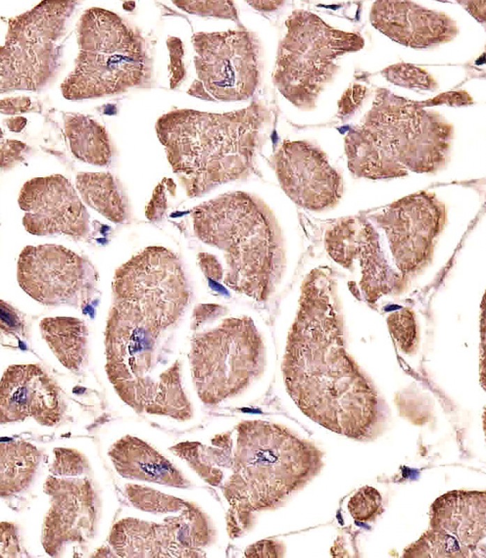
分类: 科研抗体货号: P34048别名: Ephrin type-A receptor 4, EPH-like kinase 8, EK8, hEK8, Tyrosine-protein kinase TYRO1, Tyrosine-protein kinase receptor SEK, EPHA4, HEK8, SEK, TYRO1应用: WB,IHC,FCM反应种属: Human, Mouse
-
分类: 科研抗体货号: P34033别名: Uridine phosphorylase 1, UPase 1, UrdPase 1, 2.4.2.3, UPP1, UP应用: WB反应种属: Human, Mouse
-
分类: 科研抗体货号: P34068别名: Ras-related protein Rab-20, RAB20应用: WB反应种属: Human, Mouse
-
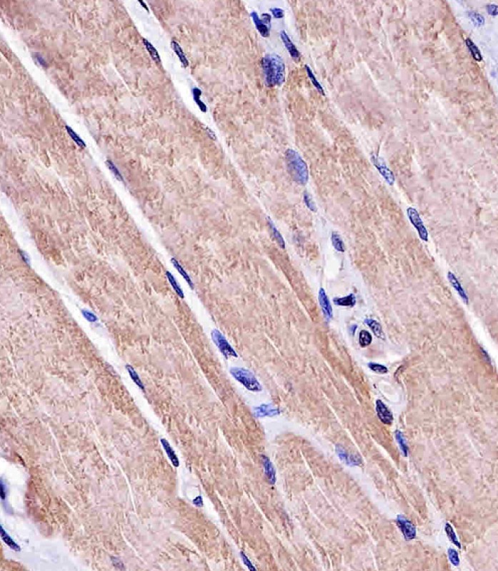
分类: 科研抗体货号: P34047别名: Casein kinase I isoform gamma-2, CKI-gamma 2, CSNK1G2, CK1G2应用: WB,IHC反应种属: Human
-
分类: 科研抗体货号: P34032别名: Serine palmitoyltransferase 3, 2.3.1.50, Long chain base biosynthesis protein 2b, LCB2b, Long chain base biosynthesis protein 3, LCB 3, Serine-palmitoyl-CoA transferase 3, SPT 3, SPTLC3, C20orf38, SPTLC2L应用: WB反应种属: Human
-
分类: 科研抗体货号: P34067别名: Unconventional myosin-XVIIIb, MYO18B应用: WB,IHC,FCM反应种属: Human
-
分类: 科研抗体货号: P34046别名: Tryptophan 5-hydroxylase 1, Tryptophan 5-monooxygenase 1, TPH1, TPH, TPRH, TRPH应用: WB,IHC,IF,FCM反应种属: Human
-
分类: 科研抗体货号: P34031别名: Patatin-like phospholipase domain-containing protein 5, 3.1.1.-, GS2-like protein, PNPLA5, GS2L应用: WB反应种属: Human
鄂公网安备42018502007531号

