-
分类: 科研抗体货号: P34013别名: Bcl2-associated agonist of cell death, BAD, Bcl-2-binding component 6, Bcl-xL/Bcl-2-associated death promoter, Bcl2 antagonist of cell death, Bad, Bbc6应用: WB反应种属: Mouse
-
分类: 科研抗体货号: P34023别名: Urokinase-type plasminogen activator, U-plasminogen activator, uPA, Urokinase-type plasminogen activator long chain A, Urokinase-type plasminogen activator short chain A, Urokinase-type plasminogen activator chain B, Plau应用: WB反应种属: Human, Mouse
-
分类: 科研抗体货号: P34011别名: Ubiquitin-associated protein 2-like, Protein NICE-4, UBAP2L, KIAA0144, NICE4应用: WB反应种属: Human
-
分类: 科研抗体货号: P34021别名: 10 kDa heat shock protein;Heat shock 10kDa protein 1应用: WB反应种属: Human, Rat
-
分类: 科研抗体货号: P34038别名: Vinculin, Metavinculin, Vcl应用: WB,IHC,FCM反应种属: Human, Mouse, Rat
-
分类: 科研抗体货号: P34020别名: Osteocalcin, Bone Gla protein, BGP, Gamma-carboxyglutamic acid-containing protein, BGLAP应用: WB,IHC反应种属: Human
-
分类: 科研抗体货号: P34037别名: Peptidyl-prolyl cis-trans isomerase D, PPIase D, 5.2.1.8, 40 kDa peptidyl-prolyl cis-trans isomerase, Cyclophilin-40, CYP-40, Cyclophilin-related protein, Rotamase D, PPID, CYP40, CYPD应用: WB,IHC,IF,FCM反应种属: Human
-
分类: 科研抗体货号: P34019别名: RNA polymerase-associated protein LEO1, Replicative senescence down-regulated leo1-like protein, LEO1, RDL应用: WB反应种属: Human, Mouse
-
分类: 科研抗体货号: P34036别名: Tubulin beta-5 chain, Tubb5应用: WB,IHC,FCM反应种属: Mouse, Rat
-
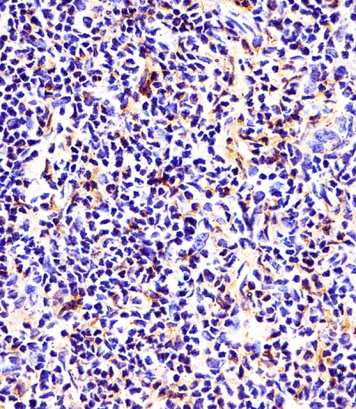
分类: 科研抗体货号: P34018别名: Pyrin, Marenostrin, MEFV, MEF应用: WB反应种属: Human
鄂公网安备42018502007531号

