-
分类: 科研抗体货号: P33983别名: C-C chemokine receptor type 10, C-C CKR-10, CC-CKR-10, CCR-10, G-protein coupled receptor 2, CCR10, GPR2应用: WB反应种属: Human
-
分类: 科研抗体货号: P33981别名: Galectin-4, Gal-4, Antigen NY-CO-27, L-36 lactose-binding protein, L36LBP, Lactose-binding lectin 4, LGALS4应用: WB,FCM反应种属: Human
-
分类: 科研抗体货号: P33997别名: Testis-specific Y-encoded protein 3, TSPY3应用: WB反应种属: Human
-
分类: 科研抗体货号: P33980别名: TBC1 domain family member 3F, TBC1D3F, TBC1D3E应用: WB反应种属: Human
-
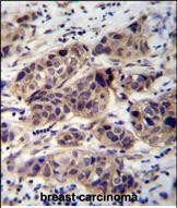
分类: 科研抗体货号: P33986别名: Serine hydroxymethyltransferase, cytosolic, SHMT, Glycine hydroxymethyltransferase, Serine methylase, SHMT1应用: WB,IHC反应种属: Human
-
分类: 科研抗体货号: P33996别名: Homeobox protein ESX1, Extraembryonic, spermatogenesis, homeobox 1, Homeobox protein ESX1-N, Homeobox protein ESX1-C, ESX1, ESX1L, ESX1R应用: WB反应种属: Human
-
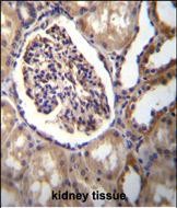
分类: 科研抗体货号: P33979别名: DDB1- and CUL4-associated factor 8-like protein 2, WD repeat-containing protein 42C, DCAF8L2, WDR42C应用: WB,IHC,IF反应种属: Human
-
分类: 科研抗体货号: P33985别名: Vasopressin V1b receptor, V1bR, AVPR V1b, AVPR V3, Antidiuretic hormone receptor 1b, Vasopressin V3 receptor, AVPR1B, AVPR3, VPR3应用: WB反应种属: Human
-
分类: 科研抗体货号: P33995别名: Prolactin-releasing peptide receptor, PrRP receptor, PrRPR, G-protein coupled receptor 10, hGR3, PRLHR, GPR10, GR3应用: WB反应种属: Human
-
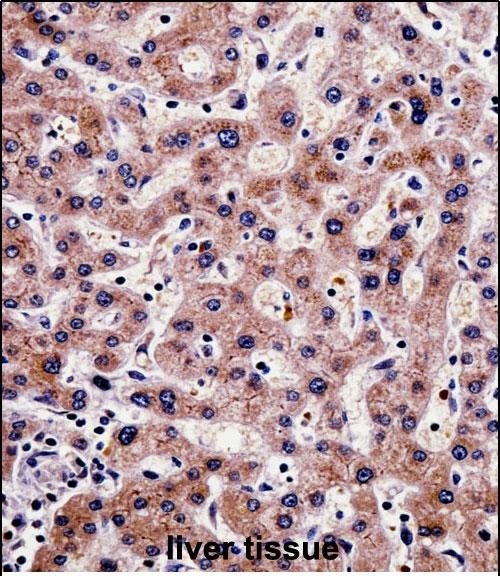
分类: 科研抗体货号: P33978别名: Aldo-keto reductase family 1 member C3, 1---, 17-beta-hydroxysteroid dehydrogenase type 5, 17-beta-HSD 5, 3-alpha-HSD type II, brain, 3-alpha-hydroxysteroid dehydrogenase type 2, 3-alpha-HSD type 2, Chlordecone reductase homolog HAKRb, Dihydrodiol dehydro应用: WB,IHC反应种属: Human
鄂公网安备42018502007531号

