-
分类: 科研抗体货号: P33879别名: Glycine dehydrogenase (decarboxylating), mitochondrial, Glycine cleavage system P protein, Glycine decarboxylase, Glycine dehydrogenase (aminomethyl-transferring), GLDC, GCSP应用: WB反应种属: Human, Mouse
-
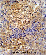
分类: 科研抗体货号: P33864别名: Polymerase I and transcript release factor, Cavin-1, PTRF {ECO:0000312|EMBL:AAH661231}应用: WB,IHC反应种属: Human
-
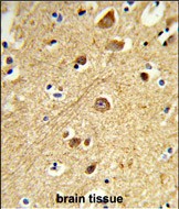
分类: 科研抗体货号: P33873别名: C-Jun-amino-terminal kinase-interacting protein 1, JIP-1, JNK-interacting protein 1, Islet-brain 1, IB-1, JNK MAP kinase scaffold protein 1, Mitogen-activated protein kinase 8-interacting protein 1, MAPK8IP1, IB1, JIP1, PRKM8IP应用: WB,IHC,IF,FCM反应种属: Human
-
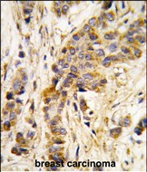
分类: 科研抗体货号: P33889别名: Glyceraldehyde-3-phosphate dehydrogenase, GAPDH, 1.2.1.12, Peptidyl-cysteine S-nitrosylase GAPDH, 2.6.99.-, GAPDH, GAPD应用: WB,IHC,FCM反应种属: Human, Mouse, Rat
-
分类: 科研抗体货号: P33878别名: Hemoglobin subunit alpha, Alpha-globin, Hemoglobin alpha chain, HBA1应用: WB反应种属: Human, Mouse
-
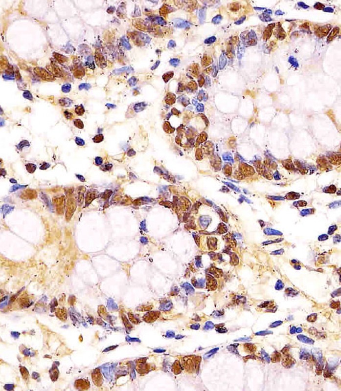
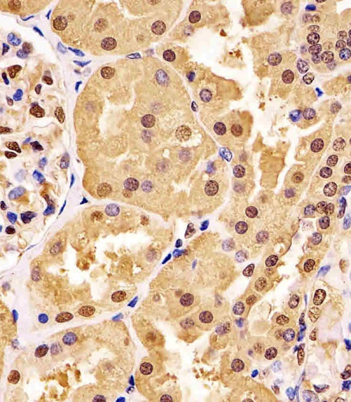
分类: 科研抗体货号: P33872别名: Methionine--tRNA ligase, mitochondrial, Methionyl-tRNA synthetase 2, Mitochondrial methionyl-tRNA synthetase, MtMetRS, MARS2应用: WB,IHC反应种属: Human, Mouse
-
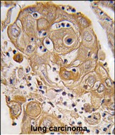
分类: 科研抗体货号: P33871别名: Isoleucine--tRNA ligase, mitochondrial, Isoleucyl-tRNA synthetase, IleRS, IARS2应用: WB,IHC反应种属: Human
-
分类: 科研抗体货号: P33887别名: Pre-mRNA-splicing factor 38A, PRPF38A应用: WB,IHC,FCM反应种属: Human
-
分类: 科研抗体货号: P33877别名: 60S ribosomal protein L18a, RPL18A应用: WB,IHC,FCM反应种属: Human, Mouse
-
分类: 科研抗体货号: P33886别名: Androgen-induced gene 1 protein, AIG-1, AIG1应用: WB反应种属: Human, Mouse
鄂公网安备42018502007531号

