-
分类: 科研抗体货号: P33843别名: Phosphatidate cytidylyltransferase, mitochondrial, CDP-diacylglycerol synthase, CDP-DAG synthase, Mitochondrial translocator assembly and maintenance protein 41 homolog, TAM41, TAMM41, C3orf31应用: WB,FCM反应种属: Human, Mouse
-
分类: 科研抗体货号: P33859别名: Transcription factor MafF, U-Maf, V-maf musculoaponeurotic fibrosarcoma oncogene homolog F, MAFF应用: WB,IHC,FCM反应种属: Human
-
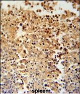
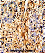
分类: 科研抗体货号: P33842别名: Gametogenetin-binding protein 2, Laryngeal carcinoma-related protein 1, Protein ZNF403, GGNBP2, LCRG1, LZK1, ZNF403应用: WB,IHC,FCM反应种属: Human
-
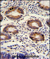
分类: 科研抗体货号: P33858别名: Laminin subunit beta-2, Laminin B1s chain, Laminin-11 subunit beta, Laminin-14 subunit beta, Laminin-15 subunit beta, Laminin-3 subunit beta, Laminin-4 subunit beta, Laminin-7 subunit beta, Laminin-9 subunit beta, S-laminin subunit beta, S-LAM beta, LAMB2应用: WB,IHC,FCM反应种属: Human
-
分类: 科研抗体货号: P33841别名: AMSH-like protease, AMSH-LP, 3419-, STAM-binding protein-like 1, STAMBPL1, AMSHLP, KIAA1373应用: WB,IHC,FCM反应种属: Human, Mouse
-
分类: 科研抗体货号: P33857别名: Fascin-3, Testis fascin, FSCN3应用: WB,IHC,FCM反应种属: Human, Mouse
-
分类: 科研抗体货号: P33840别名: Fanconi-associated nuclease 1, 3121-, FANCD2/FANCI-associated nuclease 1, Myotubularin-related protein 15, FAN1, KIAA1018, MTMR15应用: WB,FCM反应种属: Human
-
分类: 科研抗体货号: P33856别名: Methylosome subunit pICln, Chloride channel, nucleotide sensitive 1A, Chloride conductance regulatory protein ICln, I(Cln), Chloride ion current inducer protein, ClCI, Reticulocyte pICln, CLNS1A, CLCI, ICLN应用: WB,IHC,FCM反应种属: Human
-
分类: 科研抗体货号: P33839别名: Enhancer of polycomb homolog 2, EPC-like, EPC2应用: WB,FCM反应种属: Human, Mouse
-
分类: 科研抗体货号: P33855别名: Actin-related protein 2/3 complex subunit 1A, SOP2-like protein, ARPC1A, SOP2L应用: WB,IHC,IF,FCM反应种属: Human
鄂公网安备42018502007531号

