-
分类: 科研抗体货号: P33724别名: Leucine-rich repeat and immunoglobulin-like domain-containing nogo receptor-interacting protein 4, Leucine-rich repeat neuronal protein 6D, LINGO4, LRRN6D应用: WB,IHC反应种属: Human, Mouse
-
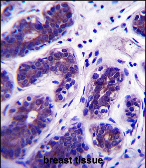
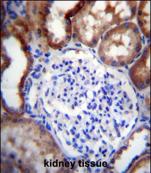
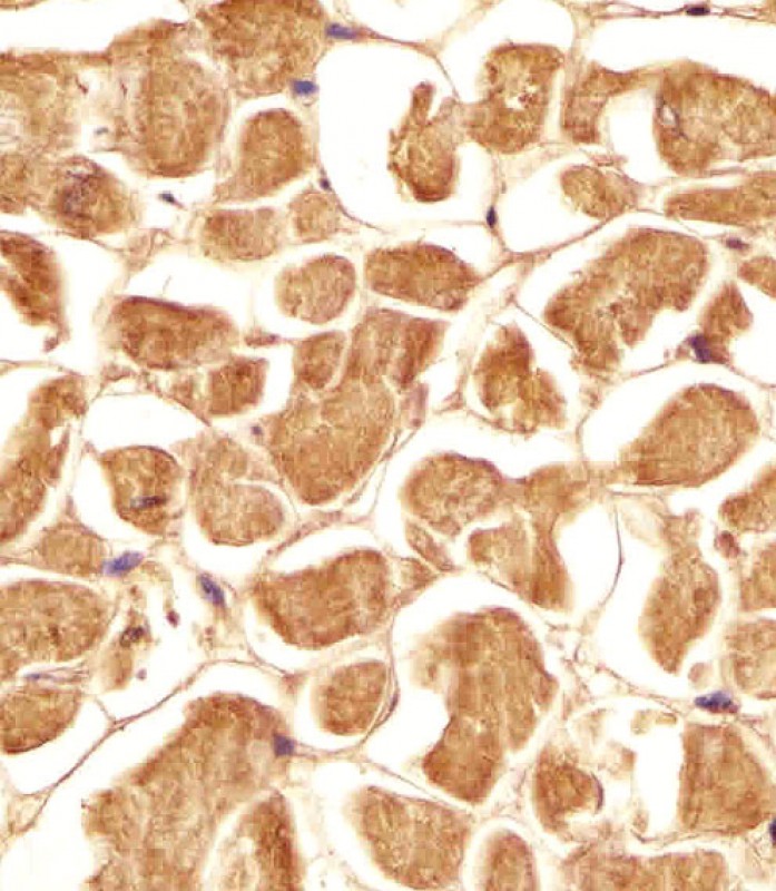
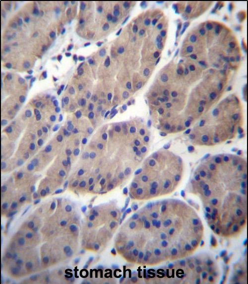
分类: 科研抗体货号: P33721别名: Myosin-binding protein C, cardiac-type, Cardiac MyBP-C, C-protein, cardiac muscle isoform, MYBPC3应用: WB,IHC反应种属: Human, Mouse, Rat
-
分类: 科研抗体货号: P33739别名: Zinc finger CCHC domain-containing protein 14, BDG-29, ZCCHC14, KIAA0579应用: WB反应种属: Human, Mouse
-
分类: 科研抗体货号: P33723别名: CTTNBP2 N-terminal-like protein, CTTNBP2NL, KIAA1433应用: WB,IHC反应种属: Human
-
分类: 科研抗体货号: P33738别名: Notch-regulated ankyrin repeat-containing protein, NRARP应用: WB反应种属: Human
-
分类: 科研抗体货号: P33747别名: Ankyrin repeat and SAM domain-containing protein 6, Ankyrin repeat domain-containing protein 14, SamCystin, Sterile alpha motif domain-containing protein 6, SAM domain-containing protein 6, ANKS6, ANKRD14, PKDR1, SAMD6应用: WB反应种属: Human
-
分类: 科研抗体货号: P33737别名: PHD finger-like domain-containing protein 5A, PHD finger-like domain protein 5A, Splicing factor 3B-associated 14 kDa protein, SF3b14b, PHF5A应用: WB,FCM反应种属: Human
-
分类: 科研抗体货号: P33746别名: Zinc transporter 1, ZnT-1, Solute carrier family 30 member 1, SLC30A1, ZNT1应用: WB反应种属: Human
-
分类: 科研抗体货号: P33736别名: Autophagy-related protein 2 homolog B, ATG2B, C14orf103应用: WB反应种属: Human, Mouse
-
分类: 科研抗体货号: P33745别名: Glycerophosphodiester phosphodiesterase domain-containing protein 3, 31--, GDPD3应用: WB,IHC反应种属: Human
鄂公网安备42018502007531号

