-
分类: 科研抗体货号: P33685别名: UPF0762 protein C6orf58, C6orf58应用: WB,IHC,FCM反应种属: Human
-
分类: 科研抗体货号: P33669别名: Exocyst complex component 5, Exocyst complex component Sec10, hSec10, EXOC5, SEC10, SEC10L1应用: WB,IHC,FCM反应种属: Human
-
分类: 科研抗体货号: P33654别名: N-glycosylase/DNA lyase, 8-oxoguanine DNA glycosylase, 322-, DNA-(apurinic or apyrimidinic site) lyase, AP lyase, OGG1, MMH, MUTM, OGH1应用: WB反应种属: Human, Mouse
-
分类: 科研抗体货号: P33684别名: Protocadherin Fat 4, hFat4, Cadherin family member 14, FAT tumor suppressor homolog 4, Fat-like cadherin protein FAT-J, FAT4, CDHF14, FATJ应用: WB反应种属: Human, Mouse
-
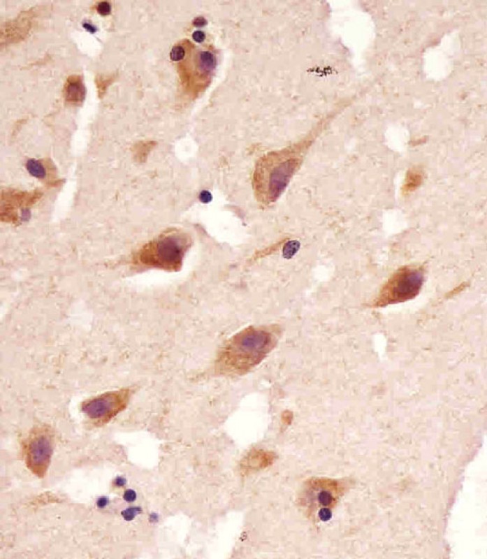
分类: 科研抗体货号: P33668别名: Serine/threonine-protein kinase TBK1, NF-kappa-B-activating kinase, T2K, TANK-binding kinase 1, TBK1, NAK应用: WB,IHC反应种属: Human, Mouse
-
分类: 科研抗体货号: P33653别名: Espin, Autosomal recessive deafness type 36 protein, Ectoplasmic specialization protein, ESPN, DFNB36应用: WB,IHC,FCM反应种属: Human
-
分类: 科研抗体货号: P33683别名: Low-density lipoprotein receptor-related protein 1B, LRP-1B, Low-density lipoprotein receptor-related protein-deleted in tumor, LRP-DIT, LRP1B, LRPDIT应用: WB反应种属: Human, Mouse
-
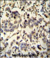
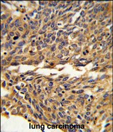
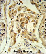
分类: 科研抗体货号: P33667别名: Probable cysteine--tRNA ligase, mitochondrial, Cysteinyl-tRNA synthetase, CysRS, CARS2应用: WB,IHC反应种属: Human
-
分类: 科研抗体货号: P33652别名: ZW10 interactor, ZW10-interacting protein 1, Zwint-1, ZWINT应用: WB,IHC,FCM反应种属: Human, Mouse
-
分类: 科研抗体货号: P33682别名: Ras-related protein Rab-13, Cell growth-inhibiting gene 4 protein, RAB13应用: WB反应种属: Human
鄂公网安备42018502007531号

