-
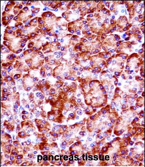
分类: 科研抗体货号: P33618别名: Solute carrier family 2, facilitated glucose transporter member 2, Glucose transporter type 2, liver, GLUT-2, SLC2A2, GLUT2应用: WB,FCM反应种属: Human
-
分类: 科研抗体货号: P33602别名: Succinate dehydrogenase [ubiquinone] cytochrome b small subunit, mitochondrial, CybS, CII-4, QPs3, Succinate dehydrogenase complex subunit D, Succinate-ubiquinone oxidoreductase cytochrome b small subunit, Succinate-ubiquinone reductase membrane anchor su应用: WB反应种属: Human
-
分类: 科研抗体货号: P33633别名: Cell death activator CIDE-B, Cell death-inducing DFFA-like effector B, CIDEB应用: WB反应种属: Human
-
分类: 科研抗体货号: P33617别名: Serine/threonine-protein kinase 10, Lymphocyte-oriented kinase, Stk10, Lok应用: WB反应种属: Human, Mouse
-
分类: 科研抗体货号: P33601别名: Glutaredoxin-3, PKC-interacting cousin of thioredoxin, PICOT, PKC-theta-interacting protein, PKCq-interacting protein, Thioredoxin-like protein 2, GLRX3, PICOT, TXNL2应用: WB,FCM反应种属: Human, Mouse
-
分类: 科研抗体货号: P33632别名: UPF0729 protein C18orf32, Putative NF-kappa-B-activating protein 200, C18orf32应用: WB反应种属: Human
-
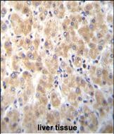
分类: 科研抗体货号: P33616别名: Receptor-interacting serine/threonine-protein kinase 3, RIP-like protein kinase 3, Receptor-interacting protein 3, RIP-3, RIPK3, RIP3应用: WB,IHC反应种属: Human
-
分类: 科研抗体货号: P33600别名: Embryonic polyadenylate-binding protein 2, Embryonic poly(A)-binding protein 2, ePABP-2, ePABP2, Embryonic poly(A)-binding protein type II, Poly(A)-binding protein nuclear-like 1, PABPN1L, EPABP2, PABPNL1应用: WB,IHC,IF,FCM反应种属: Human
-
分类: 科研抗体货号: P33631别名: Putative protein RIG, Protein regulated in glioma, RIG应用: WB反应种属: Human
-
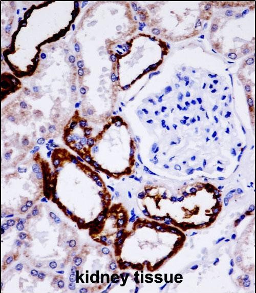
分类: 科研抗体货号: P33615别名: Uromodulin, Tamm-Horsfall urinary glycoprotein, THP, Uromodulin, secreted form, UMOD应用: WB,IHC反应种属: Human
鄂公网安备42018502007531号

