-
分类: 科研抗体货号: P33612别名: Zinc finger and BTB domain-containing protein 11, ZBTB11应用: WB反应种属: Human
-
分类: 科研抗体货号: P33621别名: Potassium channel subfamily K member 12, Tandem pore domain halothane-inhibited potassium channel 2, THIK-2, KCNK12应用: WB反应种属: Human, Rat
-
分类: 科研抗体货号: P33605别名: Carcinoembryonic antigen-related cell adhesion molecule 18, CEACAM18应用: WB反应种属: Human
-
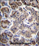
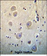
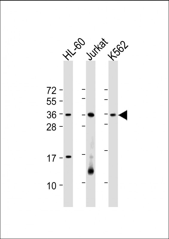
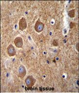
分类: 科研抗体货号: P33611别名: 60S ribosomal protein L15, RPL15, EC45应用: WB,IHC,FCM反应种属: Human, Mouse
-
分类: 科研抗体货号: P33620别名: SCAN domain-containing protein 1, SCAND1, SDP1应用: WB反应种属: Human
-
分类: 科研抗体货号: P33604别名: Rho-related GTP-binding protein RhoB, Rho cDNA clone 6, h6, RHOB, ARH6, ARHB应用: WB,IHC反应种属: Human
-
分类: 科研抗体货号: P33635别名: Protein BANP, BEN domain-containing protein 1, Btg3-associated nuclear protein, Scaffold/matrix-associated region-1-binding protein, BANP, BEND1, SMAR1应用: WB反应种属: Human, Mouse
-
分类: 科研抗体货号: P33619别名: Gap junction delta-2 protein, Connexin-36, Cx36, Gap junction alpha-9 protein, GJD2, GJA9应用: WB,IHC反应种属: Human, Mouse, Rat
-
分类: 科研抗体货号: P33603别名: Serine/threonine-protein kinase PAK 6, PAK-5, p21-activated kinase 6, PAK-6, PAK6, PAK5应用: WB,IHC,IF反应种属: Human
-
分类: 科研抗体货号: P33634别名: R-spondin-1, Roof plate-specific spondin-1, hRspo1, RSPO1应用: WB反应种属: Human
鄂公网安备42018502007531号

