-
分类: 科研抗体货号: P33591别名: Sodium-coupled monocarboxylate transporter 2, Electroneutral sodium monocarboxylate cotransporter, Low-affinity sodium-lactate cotransporter, Solute carrier family 5 member 12, SLC5A12, SMCT2应用: WB,IHC,FCM反应种属: Human
-
分类: 科研抗体货号: P33574别名: CD82 antigen, C33 antigen, IA4, Inducible membrane protein R2, Metastasis suppressor Kangai-1, Suppressor of tumorigenicity 6 protein, Tetraspanin-27, Tspan-27, CD82, CD82, KAI1, SAR2, ST6, TSPAN27应用: WB,IHC,FCM反应种属: Human, Mouse, Rat
-
分类: 科研抗体货号: P33590别名: Nicotinamide N-methyltransferase, NNMT应用: WB,IHC反应种属: Human, Mouse, Rat
-
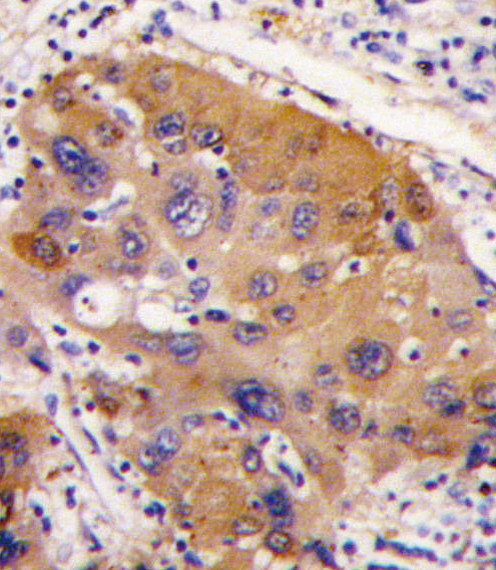
分类: 科研抗体货号: P33573别名: Matrilysin, Matrin, Matrix metalloproteinase-7, MMP-7, Pump-1 protease, Uterine metalloproteinase, MMP7, MPSL1, PUMP1应用: WB,IHC,IF反应种属: Human
-
分类: 科研抗体货号: P33589别名: Transcription regulator protein BACH2, BTB and CNC homolog 2, BACH2应用: WB,FCM反应种属: Human, Mouse
-
分类: 科研抗体货号: P33572别名: Aftiphilin, AFTPH, AFTH应用: WB,IHC,FCM反应种属: Human
-
分类: 科研抗体货号: P33588别名: Ras association domain-containing protein 2, RASSF2, KIAA0168应用: WB,FCM反应种属: Human, Mouse, Rat
-
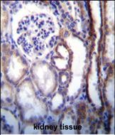
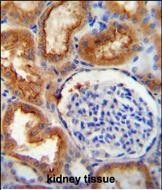
分类: 科研抗体货号: P33597别名: V-type proton ATPase subunit B, kidney isoform, V-ATPase subunit B 1, Endomembrane proton pump 58 kDa subunit, Vacuolar proton pump subunit B 1, ATP6V1B1, ATP6B1, VATB, VPP3应用: WB,IHC,IF反应种属: Human
-
分类: 科研抗体货号: P33587别名: Disabled homolog 2-interacting protein, DAB2 interaction protein, DAB2-interacting protein, ASK-interacting protein 1, AIP-1, DOC-2/DAB-2 interactive protein, DAB2IP, AF9Q34, AIP1, KIAA1743应用: WB反应种属: Human, Mouse, Rat
-
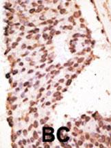
分类: 科研抗体货号: P33596别名: Protein lin-28 homolog A, Lin-28A, Zinc finger CCHC domain-containing protein 1, LIN28A, CSDD1, LIN28, ZCCHC1应用: WB,IHC,IF,FCM反应种属: Human, Mouse
鄂公网安备42018502007531号

