-
分类: 科研抗体货号: P33488别名: TATA element modulatory factor, TMF, Androgen receptor coactivator 160 kDa protein, Androgen receptor-associated protein of 160 kDa, TMF1, ARA160应用: WB反应种属: Human, Mouse
-
分类: 科研抗体货号: P33487别名: G-protein-signaling modulator 2, Mosaic protein LGN, GPSM2, LGN应用: WB反应种属: Human, Mouse
-
分类: 科研抗体货号: P33502别名: E3 ubiquitin-protein ligase RNF139, 632-, RING finger protein 139, Translocation in renal carcinoma on chromosome 8 protein, RNF139 (<a href="http://www.genenames.org/cgi-bin/gene_symbol_report?hgnc_id=17023" target="_blank">HGNC:17023</a>)应用: WB反应种属: Human, Mouse
-
分类: 科研抗体货号: P33486别名: Unconventional myosin-Vb, MYO5B, KIAA1119应用: WB反应种属: Human, Mouse, Rat
-
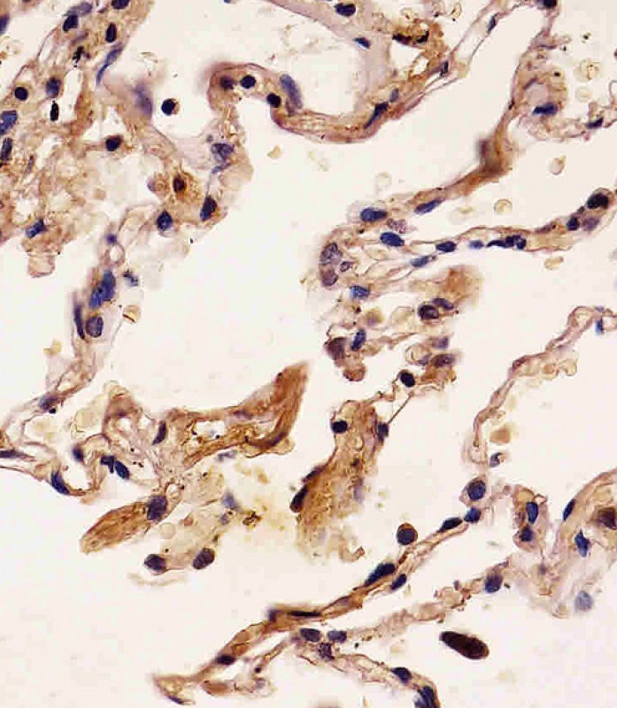
分类: 科研抗体货号: P33516别名: Ras-related protein Rab-27B, C25KG, RAB27B应用: WB,FCM反应种属: Human, Mouse
-
分类: 科研抗体货号: P33501别名: Fanconi anemia group M protein, Protein FACM, ATP-dependent RNA helicase FANCM, Fanconi anemia-associated polypeptide of 250 kDa, FAAP250, Protein Hef ortholog, FANCM, KIAA1596应用: WB反应种属: Human
-
分类: 科研抗体货号: P33485别名: SNW domain-containing protein 1, Nuclear protein SkiP, Nuclear receptor coactivator NCoA-62, Ski-interacting protein, SNW1, SKIIP, SKIP应用: WB,IF反应种属: Human, Mouse
-
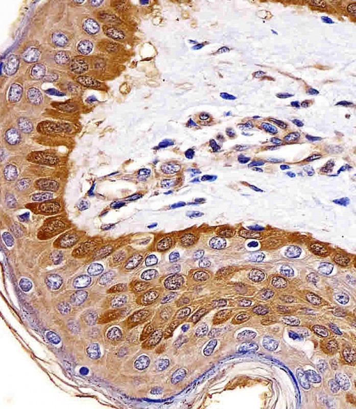
分类: 科研抗体货号: P33515别名: Protein S100-A2, CAN19, Protein S-100L, S100 calcium-binding protein A2, S100A2, S100L应用: WB,IHC,IF反应种属: Human
-
分类: 科研抗体货号: P33500别名: Leucine-rich PPR motif-containing protein, mitochondrial, 130 kDa leucine-rich protein, LRP 130, GP130, LRPPRC, LRP130应用: WB反应种属: Human, Mouse, Rat
-
分类: 科研抗体货号: P33484别名: Leukemia-associated protein 7, Deleted in lymphocytic leukemia 7, DLEU7, LEU7应用: WB反应种属: Human
鄂公网安备42018502007531号

