-
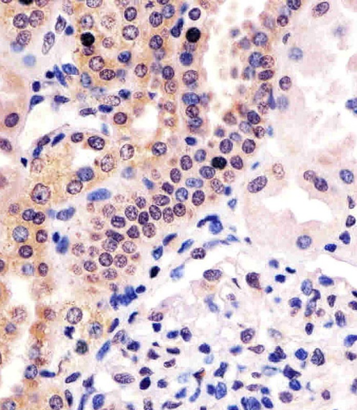
分类: 科研抗体货号: P33455别名: Serum deprivation-response protein, Cavin-2, PS-p68, Phosphatidylserine-binding protein, SDPR {ECO:0000312|EMBL:AAD177951}应用: WB,IHC,FCM反应种属: Human
-
分类: 科研抗体货号: P33454别名: Ly6/PLAUR domain-containing protein 1, Putative HeLa tumor suppressor, PHTS, LYPD1, LYPDC1应用: WB,IHC反应种属: Human, Mouse
-
分类: 科研抗体货号: P33480别名: Putative segment polarity protein dishevelled homolog DVL1P1, DSH homolog 1-like, Segment polarity protein dishevelled homolog DVL-1-like, Dishevelled-1-like, DVL1P1, DVL, DVL1, DVL1L1应用: WB反应种属: Human
-
分类: 科研抗体货号: P33467别名: Keratin, type I cytoskeletal 28, Cytokeratin-28, CK-28, Keratin-25D, K25D, Keratin-28, K28, Type I inner root sheath-specific keratin-K25irs4, KRT28 (<a href="http://www.genenames.org/cgi-bin/gene_symbol_report?hgnc_id=30842" target="_blank">HGNC:30842</a应用: WB反应种属: Human
-
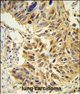
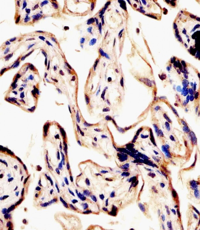
分类: 科研抗体货号: P33477别名: Endogenous retrovirus group K member 7 Env polyprotein, Envelope polyprotein, HERV-K(III) envelope protein, HERV-K102 envelope protein, HERV-K_1q22 provirus ancestral Env polyprotein, Surface protein, SU, Transmembrane protein, TM, ERVK-7应用: WB,IHC反应种属: Human
-
分类: 科研抗体货号: P33466别名: Protein lin-28 homolog B, Lin-28B, LIN28B, CSDD2应用: WB,IF,FCM反应种属: Human, Mouse, Rat
-
分类: 科研抗体货号: P33476别名: Putative cytochrome b-c1 complex subunit Rieske-like protein 1, Ubiquinol-cytochrome c reductase Rieske iron-sulfur subunit pseudogene 1, UQCRFS1P1, UQCRFSL1应用: WB反应种属: Human
-
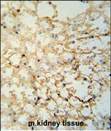
分类: 科研抗体货号: P33475别名: Phosphatidylinositol glycan anchor biosynthesis class U protein, Cell division cycle protein 91-like 1, Protein CDC91-like 1, GPI transamidase component PIG-U, PIGU, CDC91L1应用: WB反应种属: Human, Mouse, Rat
-
分类: 科研抗体货号: P33495别名: Polyhomeotic-like protein 3, Early development regulatory protein 3, Homolog of polyhomeotic 3, hPH3, PHC3, EDR3, PH3应用: WB反应种属: Human, Mouse
鄂公网安备42018502007531号

