-
分类: 科研抗体货号: P33395别名: Hydroxycarboxylic acid receptor 1, G-protein coupled receptor 104, G-protein coupled receptor 81, HCAR1, GPR104, GPR81, HCA1应用: WB反应种属: Human
-
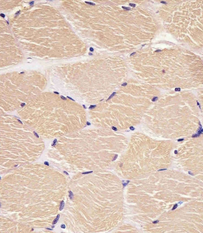
分类: 科研抗体货号: P33380别名: Metalloproteinase inhibitor 2, CSC-21K, Tissue inhibitor of metalloproteinases 2, TIMP-2, TIMP2应用: WB,IHC,IF,FCM反应种属: Human, Mouse, Rat
-
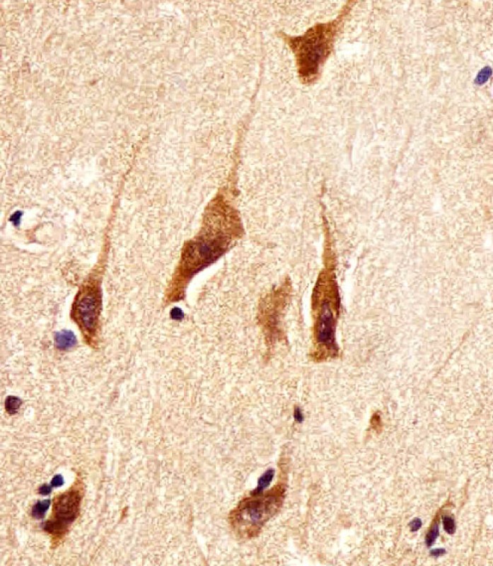
分类: 科研抗体货号: P33410别名: Beta-arrestin-2, Arrestin beta-2, ARRB2, ARB2, ARR2应用: WB,IHC反应种属: Human
-
分类: 科研抗体货号: P33394别名: Aldehyde dehydrogenase family 8 member A1, 121-, Aldehyde dehydrogenase 12, ALDH8A1, ALDH12应用: WB反应种属: Human, Mouse
-
分类: 科研抗体货号: P33379别名: Density-regulated protein, DRP, Protein DRP1, Smooth muscle cell-associated protein 3, SMAP-3, DENR, DRP1应用: WB,IHC,IF,FCM反应种属: Human, Mouse
-
分类: 科研抗体货号: P33409别名: Protein Wnt-8a, wnt8a, wnt-8, wnt8应用: WB反应种属: zebrafish
-
分类: 科研抗体货号: P33393别名: Serine/threonine-protein kinase N3, Protein kinase PKN-beta, Protein-kinase C-related kinase 3, Pkn3, Pknbeta应用: WB反应种属: Human, Mouse
-
分类: 科研抗体货号: P33402别名: Doublesex- and mab-3-related transcription factor 2, Doublesex-like 2 protein, DSXL-2, DMRT2, DSXL2应用: WB反应种属: Human, Mouse
-
分类: 科研抗体货号: P33408别名: FLYWCH-type zinc finger-containing protein 1, FLYWCH1, KIAA1552应用: WB反应种属: Human, Mouse
-
分类: 科研抗体货号: P33392别名: Tryptophan 2,3-dioxygenase {ECO:0000255|HAMAP-Rule:MF_03020}, TDO {ECO:0000255|HAMAP-Rule:MF_03020}, 1131111 {ECO:0000255|HAMAP-Rule:MF_03020}, Tryptamin 2,3-dioxygenase {ECO:0000255|HAMAP-Rule:MF_03020}, Tryptophan oxygenase {ECO:0000255|HAMAP-Rule:MF_03应用: WB反应种属: Human
鄂公网安备42018502007531号

