-
分类: 科研抗体货号: P33414别名: ATP synthase subunit epsilon-like protein, mitochondrial, ATP5EP2应用: WB反应种属: Human
-
分类: 科研抗体货号: P33398别名: Disintegrin and metalloproteinase domain-containing protein 21, ADAM 21, 3424-, ADAM21应用: WB反应种属: Human, Mouse, Rat
-
分类: 科研抗体货号: P33383别名: Alpha-2-HS-glycoprotein, Alpha-2-Z-globulin, Ba-alpha-2-glycoprotein, Fetuin-A, Alpha-2-HS-glycoprotein chain A, Alpha-2-HS-glycoprotein chain B, AHSG, FETUA应用: WB,IF,FCM反应种属: Human
-
分类: 科研抗体货号: P33413别名: Doublesex- and mab-3-related transcription factor 2, Doublesex-like 2 protein, DSXL-2, DMRT2, DSXL2应用: WB反应种属: Human, Mouse
-
分类: 科研抗体货号: P33397别名: POC1 centriolar protein homolog B, Pix1, Proteome of centriole protein 1B, WD repeat-containing protein 51B, POC1B, WDR51B应用: WB反应种属: Human
-
分类: 科研抗体货号: P33382别名: CTD small phosphatase-like protein, CTDSP-like, Carboxy-terminal domain RNA polymerase II polypeptide A small phosphatase 3, NIF-like protein, Nuclear LIM interactor-interacting factor 1, NLI-interacting factor 1, Protein YA22, hYA22, RBSP3, Small C-termi应用: WB,FCM反应种属: Human
-
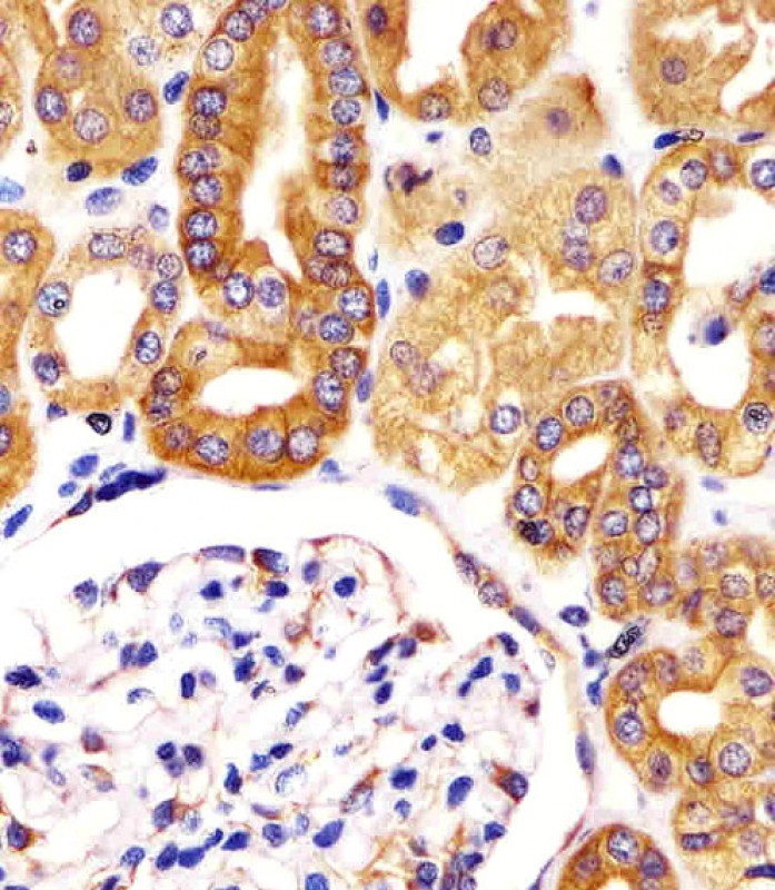
分类: 科研抗体货号: P33412别名: Germ cell-less protein-like 1, GMCL1, GCL应用: WB,IHC反应种属: Human, Mouse
-
分类: 科研抗体货号: P33396别名: Ataxin-2, Spinocerebellar ataxia type 2 protein, Trinucleotide repeat-containing gene 13 protein, ATXN2, ATX2, SCA2, TNRC13应用: WB反应种属: Human, Mouse
-
分类: 科研抗体货号: P33381别名: Ras-related protein Rab-11A, Rab-11, YL8, RAB11A, RAB11应用: WB,IHC反应种属: Human, Mouse, Rat
-
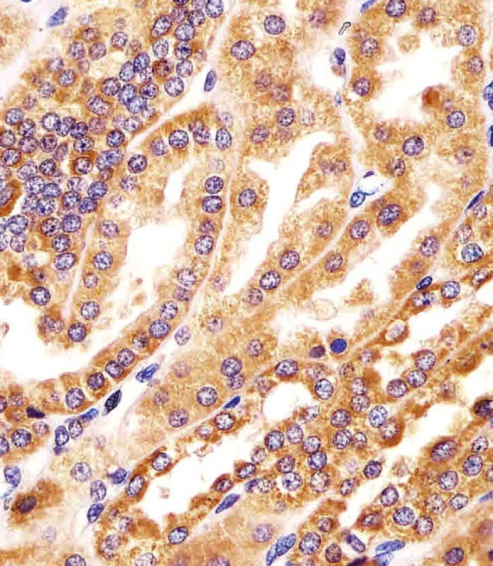
分类: 科研抗体货号: P33411别名: Protein VAC14 homolog, Tax1-binding protein 2, VAC14, TAX1BP2, TRX应用: WB,IHC反应种属: Human, Mouse, Rat
鄂公网安备42018502007531号

