-
分类: 科研抗体货号: P21236别名: COD2; SHNS; CDG2L应用: WB反应种属: Human,Mouse
-
分类: 科研抗体货号: P21201别名: cytidine deaminase; CDD应用: WB,IHC反应种属: Human
-
分类: 科研抗体货号: P21216别名: CSE1L; CAS; CSE1; Exp2; Importin-alpha re-exporter; Exportin-2; XPO2应用: WB,IHC,IF反应种属: Human,Mouse
-
分类: 科研抗体货号: P21235别名: Cli; ApoJ; Sgp2; SP-40; Sgp-2; Sugp-2; AI893575; D14Ucla3应用: WB,IP反应种属: Rat
-
分类: 科研抗体货号: P21229别名: CIRP应用: WB,IP,IHC反应种属: Human
-
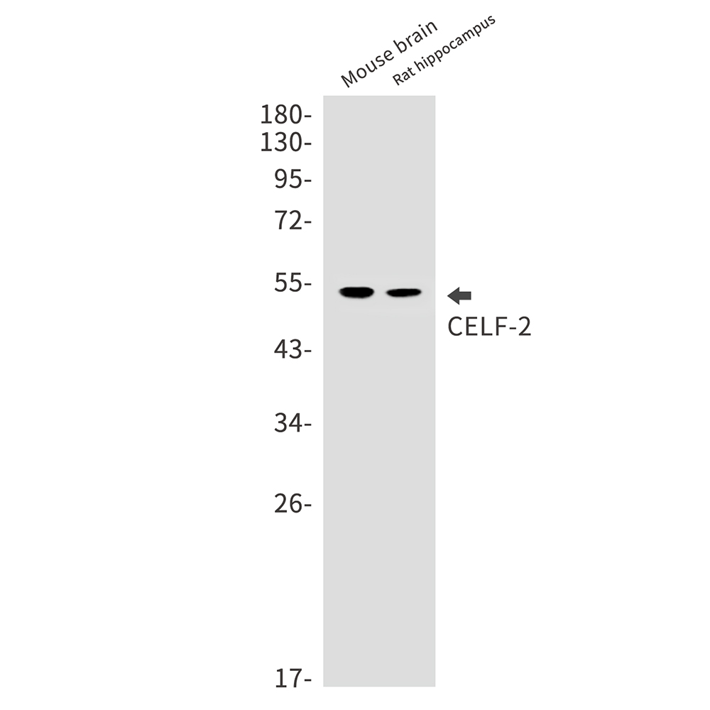
分类: 科研抗体货号: P21215别名: ETR3; ETR-3; NAPOR; CELF-2; CUGBP2; BRUNOL3; CUG-BP2应用: WB,IP,IHC,IF反应种属: Human,Mouse,Rat
-
分类: 科研抗体货号: P21234别名: Cleft lip and palate transmembrane protein 1应用: WB,IP反应种属: Human
-
分类: 科研抗体货号: P21228别名: STP; CIP4; HSTP; STOT; TRIP-10应用: WB,IHC反应种属: Human,Mouse
-
分类: 科研抗体货号: P21214别名: haloacid dehalogenase like hydrolase domain containing 5; CECR5应用: WB,IP反应种属: Human
-
分类: 科研抗体货号: P21233别名: Endopeptidase Clp应用: WB,IP反应种属: Human,Mouse,Rat
鄂公网安备42018502007531号

