-
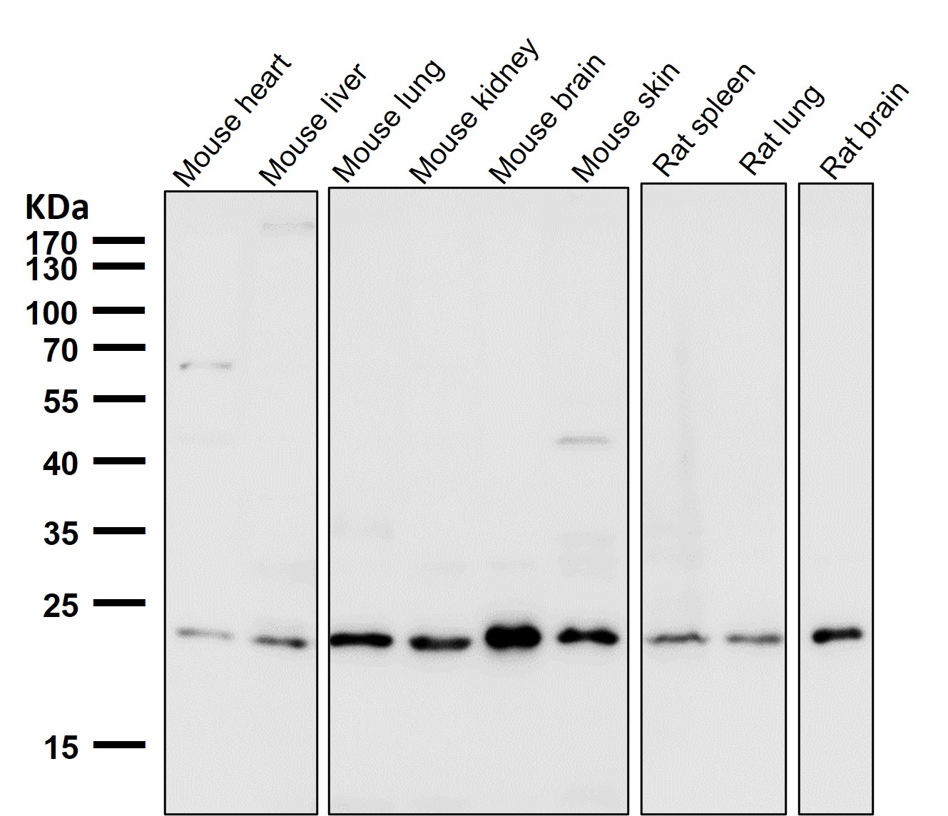
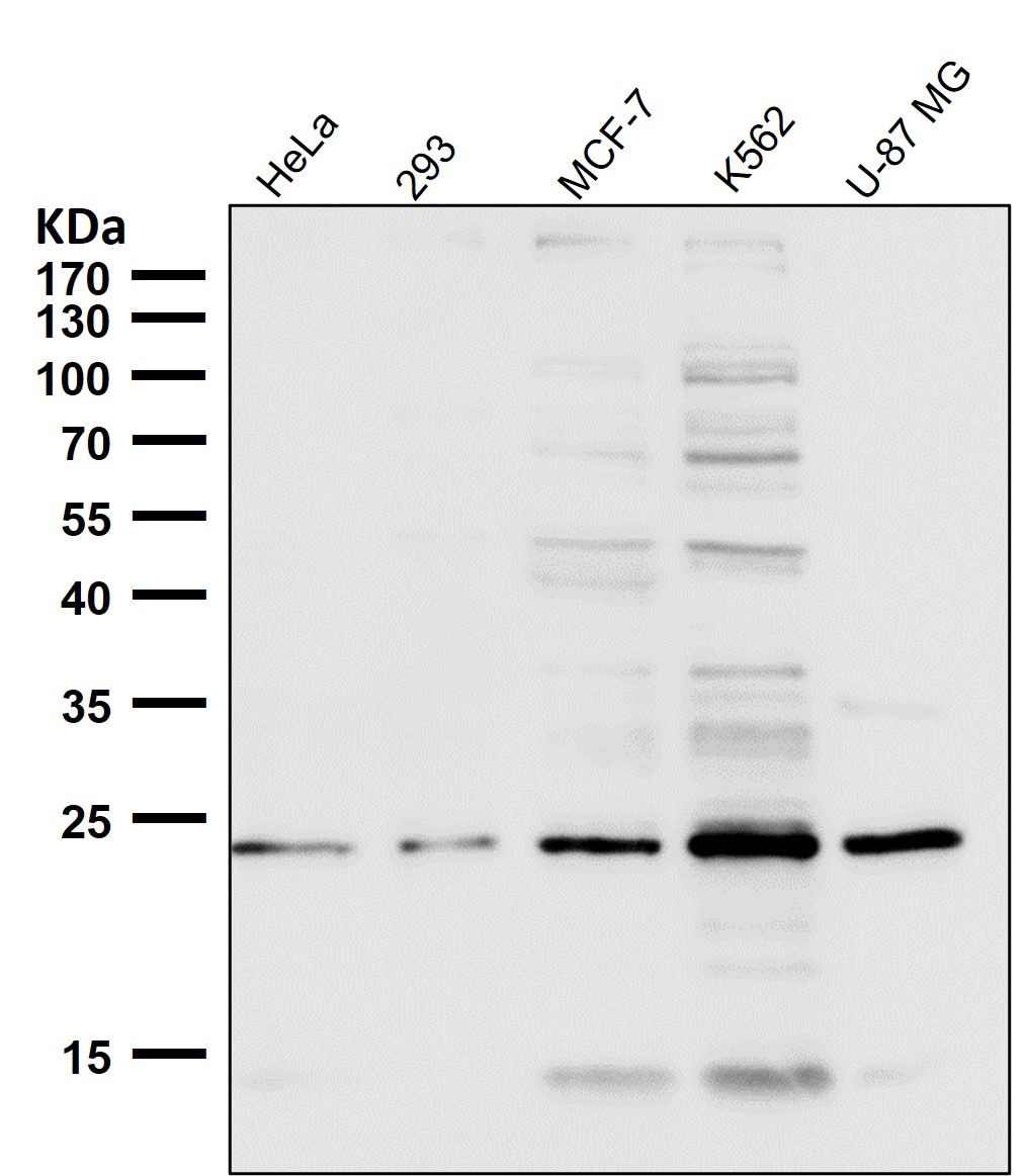
分类: 科研抗体货号: P18836别名: H-Vps28; Vps28;;VPS28应用: WB,IHC/IHF,IF,FCM反应种属: Human,Mouse,Rat
-
分类: 科研抗体货号: P18805别名: Calcium/calmodulin dependent protein kinase II alpha; Calcium/calmodulin dependent protein kinase II beta; Calcium/calmodulin dependent protein kinase II delta; Calcium/calmodulin dependent protein kinase II gamma; CaM kinase II alpha; CaM kinase II; CaM应用: WB;FCM反应种属: Human,Mouse,Rat
-
分类: 科研抗体货号: P18835别名: BTF2 p80; COFS2; CXPD; EM9; ERCC2; MAG; TFIIH p80; TTD; XPD; XPDC;;XPD应用: WB,IHC/IHF,IF,反应种属: Human
-
分类: 科研抗体货号: P18820别名: KCNJ2; ATFB9; HHBIRK1; IRK1; KIR2.1; LQT7; HIRK1; IRK-1; HHIRK1; SQT3;;KCNJ2应用: WB,IHC/IHF,IF,反应种属: Human,Mouse,Rat
-
分类: 科研抗体货号: P18803别名: eEF 1B gamma; EEF1G; EF 1G; EF1 gamma; EF1G; GIG35;;eEF1B gamma应用: WB,IHC/IHF,IF,IP,FCM反应种属: Human,Mouse,Rat
-
分类: 科研抗体货号: P18834别名: ARG2; Arginase-2; Type II arginase;;ARG2应用: WB,IF,FCM反应种属: Human
-
分类: 科研抗体货号: P18819别名: DOK1; p62(dok); P62DOK; pp62;;DOK1应用: WB,IF反应种属: Human,Mouse,Rat
-
分类: 科研抗体货号: P18802别名: eIF3b; EIF3S9; hPrt1; PRT1;;eIF3B应用: WB,IF,IP,FCM反应种属: Human,Mouse,Rat
-
分类: 科研抗体货号: P18833别名: HK5; Kallikrein 5; Kallikrein L2; KLK 5; KLK L2; SCTE;;Kallikrein 5应用: WB,IF,FCM反应种属: Human,Mouse
-
分类: 科研抗体货号: P18818别名: TAJ alpha; TAJ; TNFRSF19; TRADE; TROY;;TNFRSF19应用: WB;IHC;FCM反应种属: Human,Mouse,Rat
鄂公网安备42018502007531号

