-
分类: 科研抗体货号: P18610别名: 3-beta-HSD I; 3BETAHSD; 3BH; 3BHSD; HSD3B; HSD3B1; HSDB3; HSDB3A; SDR11E1;;HSD3B1应用: WB,IF反应种属: Human
-
分类: 科研抗体货号: P18609别名: CBR1; CRN; SDR21C1;;CBR1应用: WB;IP反应种属: Human,Mouse,Rat
-
分类: 科研抗体货号: P18624别名: IBSN; MGC841; NUP62; p62; SNDI;;NUP62应用: WB反应种属: Human
-
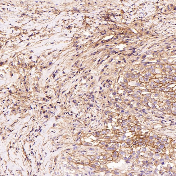
分类: 科研抗体货号: P18608别名: CDH13; CDHH; H-cadherin; Heart cadherin; P105; T cad; T Cadherin; Truncated cadherin;;Cadherin 13应用: WB;IHC反应种属: Human,Mouse,Rat
-
分类: 科研抗体货号: P18642别名: bHLHe33; RCCP2; RCCX1; Tcfe3; Tfe3; TFEA;;TFE3应用: WB,IHC/IHF,IF,FCM反应种属: Human
-
分类: 科研抗体货号: P18623别名: Mbd3;;MBD3应用: WB,IF,IP,FCM反应种属: Human,Mouse,Rat
-
分类: 科研抗体货号: P18607别名: GC1; GW112; hGC 1; hOLfD; olfactomedin 4; OlfD; OLFM4; OLM4;;Olfactomedin 4应用: WB;IP反应种属: Human,Mouse,Rat
-
分类: 科研抗体货号: P18641别名: Acidic C4; Acidic complement C4; Basic C4; Basic complement C4; C4A; C4A2; C4A3; C4A4; C4A6; C4AD; C4B1; C4B12; C4B2; C4B3; C4BD; C4F; C4S; CPAMD2; CPAMD3; ;Complement C4 A应用: WB;IHC;FCM反应种属: Human
-
分类: 科研抗体货号: P18622别名: ADTG; AP1G1; CLAPG1;;gamma 1 Adaptin应用: WB;IHC反应种属: Human,Mouse,Rat
-
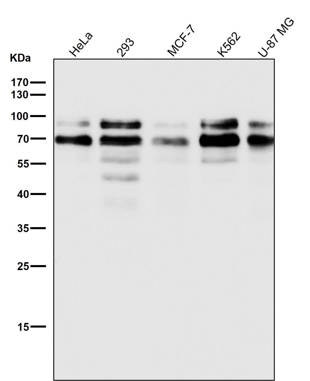
分类: 科研抗体货号: P18606别名: EEF1A1; CCS-3; CCS3; EEF-1; EEF1A; EF-Tu; EF1A; GRAF-1EF; LENG7; PTI1;eEF1A-1;;eEF1A1应用: WB,IHC/IHF,IF,IP,FCM反应种属: Human,Mouse,Rat
鄂公网安备42018502007531号

