-
分类: 科研抗体货号: P18475别名: CT154; dmrt1; DMT1;;DMRT1应用: WB;IP反应种属: Human
-
分类: 科研抗体货号: P18474别名: BDR2; HPCA; P23K;;HPCA应用: WB反应种属: Human,Mouse,Rat
-
分类: 科研抗体货号: P18488别名: Adrenalin oxidase; MAO, brain; MAO, platelet; MAOB;;MAOB应用: WB;IHC反应种属: Human
-
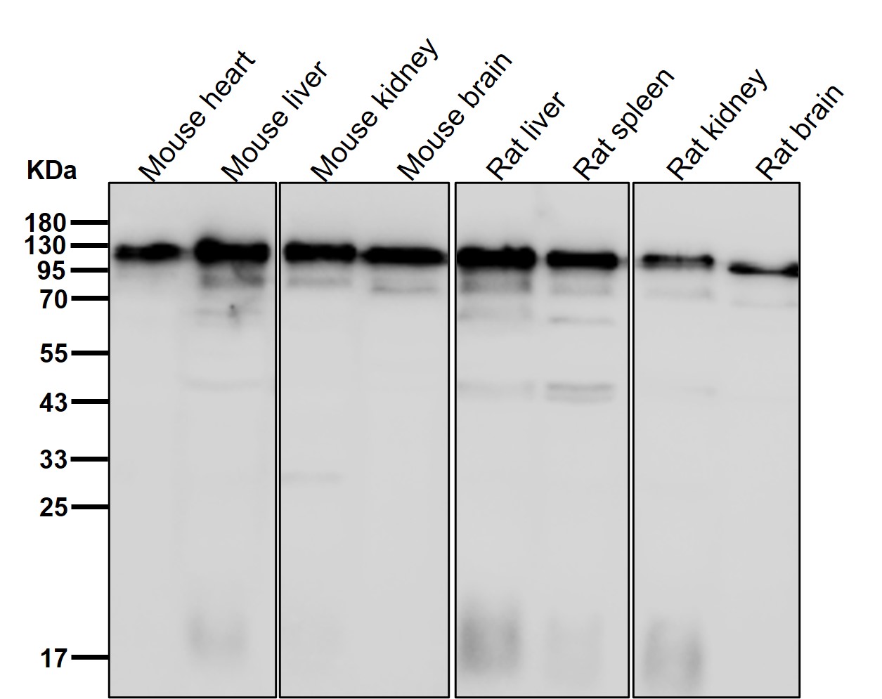
分类: 科研抗体货号: P18473别名: Amp2; MAP2; Metap2; MNPEP; p67; p67eIF2;;METAP2应用: WB,IHC/IHF,IF,FCM反应种属: Human,Mouse,Rat
-
分类: 科研抗体货号: P18487别名: AOFA; maoA;;MAOA应用: WB,IHC/IHF,IF,FCM反应种属: Human,Mouse,Rat
-
分类: 科研抗体货号: P18472别名: GPCR; Lgr6;;LGR6应用: WB,IHC/IHF,IF,FCM反应种属: Human,Mouse,Rat
-
分类: 科研抗体货号: P18486别名: CCL19; CK beta 11; CKb11; ELC; Exodus3; MIP3 beta; MIP3B; SCYA19;;CCL19应用: WB;FCM反应种属: Human
-
分类: 科研抗体货号: P18468别名: ATP7B; PWD; WC1; WD; WND; WND/140 kDa;;ATP7B应用: WB,IF,FCM反应种属: Human
-
分类: 科研抗体货号: P18485别名: ADAR; Adar1; AGS6; DRADA; Dsh; Dsrad; IFI4; P136;;ADAR1应用: WB,IHC/IHF,IF,FCM反应种属: Human
-
分类: 科研抗体货号: P18467别名: BHLH B6; BHLHB 6; bHLHb6; bHLHe21; Olig1; Oligo1;;Oligo1应用: WB;FCM反应种属: Human,Mouse,Rat
鄂公网安备42018502007531号

