-
分类: 科研抗体货号: P18116别名: Chymase 1; Chymase; CMA1; CYH; CYM; Mcp-5; MCP3P; Mcpt5; MCT1; MMCP-5;;Chymase应用: WB;IHC反应种属: Human
-
分类: 科研抗体货号: P18100别名: ANCCA; Atad2; CT137; L16; PRO2000;;ATAD2应用: WB,IF,FCM反应种属: Human
-
分类: 科研抗体货号: P18132别名: MT-ND1; MTND1; NAD1; NADH1; ND1;;MT ND1应用: WB反应种属: Human,Mouse,Rat
-
分类: 科研抗体货号: P18115别名: NCF1; NCF1A; NOXO2; SH3PXD1A; p47phox;;p47 phox应用: WB;IP反应种属: Human
-
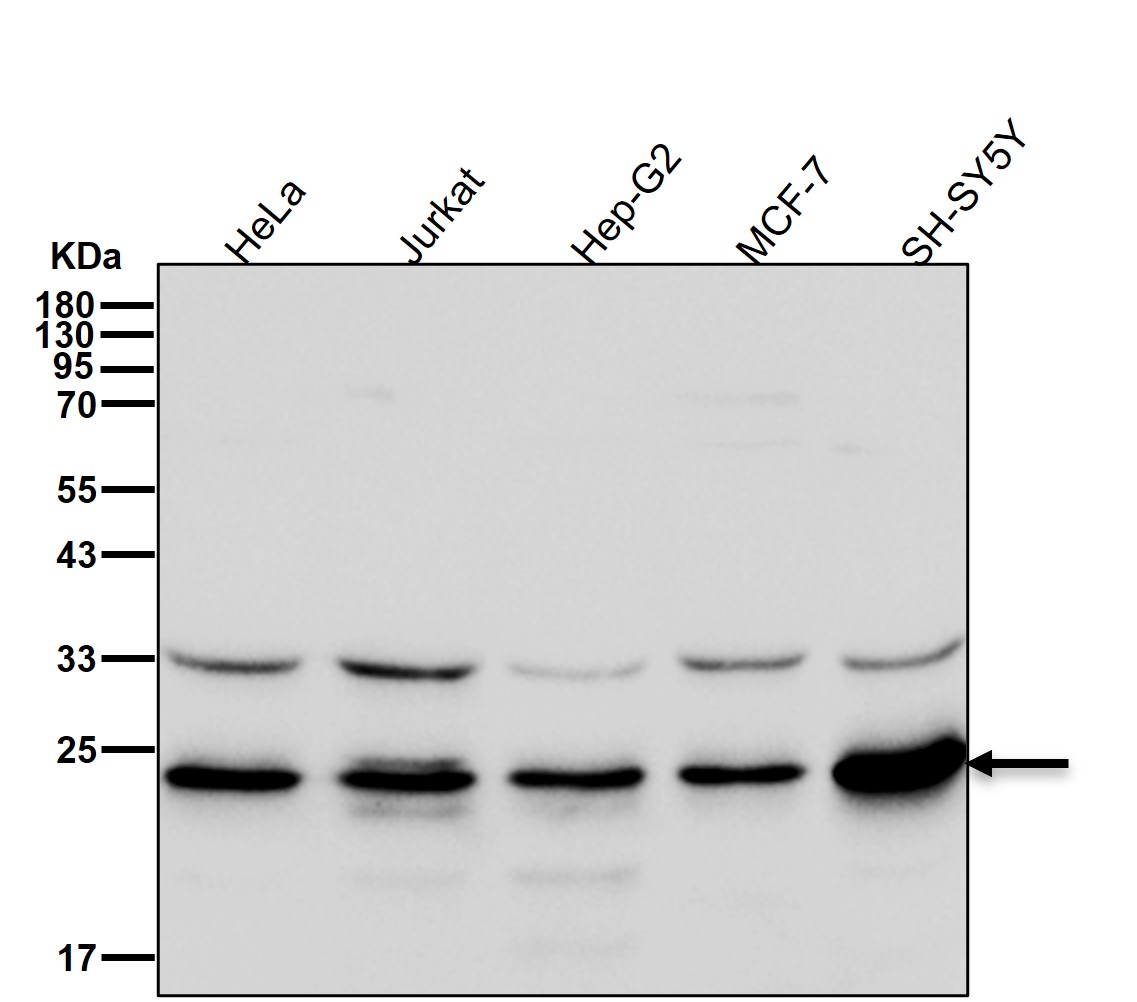
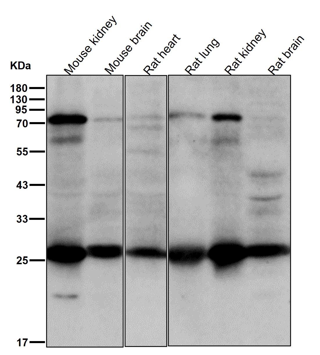
分类: 科研抗体货号: P18099别名: Claudin 11; CLD11_HUMAN; Cldn11; OSP; OTM;;Claudin 11应用: WB;FCM反应种属: Human,Mouse,Rat
-
分类: 科研抗体货号: P18131别名: HB58; Hbeta58; hVPS26; PEP8A; VPS 26; VPS26A;;VPS26A应用: WB,IF,IP反应种属: Human,Mouse,Rat
-
分类: 科研抗体货号: P18114别名: CRAM; DPYSL5; DRP5; Ulip6;;DRP 5应用: WB;IHC;IP反应种属: Human,Mouse,Rat
-
分类: 科研抗体货号: P18098别名: ANPC; ANPRC; GUCY2B; NPR 3; NPR C; Npr3; NPRC;;NPR3应用: WB;FCM反应种属: Human,Mouse,Rat
-
分类: 科研抗体货号: P18130别名: Capsulin; Epicardin; POD 1; POD1; TCF-21; tcf21;;TCF21应用: WB;IP;FCM反应种属: Human
-
分类: 科研抗体货号: P18113别名: CAS2; CATB; GP75; OCA3; TRP1;TYRP; TYRP1; TYRRP;;TRP1应用: WB;IHC;IP反应种属: Human
鄂公网安备42018502007531号

