-
分类: 科研抗体货号: P17968别名: Mcm6; Mis5;;MCM6应用: WB,IHC/IHF,IF,IP,FCM反应种属: Human,Mouse,Rat
-
分类: 科研抗体货号: P17975别名: Rab22; RAB22A;;Rab22A应用: WB,IF,IP反应种属: Human,Mouse,Rat
-
分类: 科研抗体货号: P17992别名: EndoG; EndonucleaseG; Mitochondrial endonuclease G; NUCG_HUMAN;;Endo G应用: WB反应种属: Human,Mouse,Rat
-
分类: 科研抗体货号: P17974别名: EXOC2; SEC5; SEC5L1; Sec5p;;Exocyst complex component 2应用: WB反应种属: Human,Mouse,Rat
-
分类: 科研抗体货号: P17991别名: HSPC187; nPKC D2; nPKC-D2; PKD2; PRKD 2; Prkd2;;PKD2应用: WB,IHC/IHF,IF,FCM反应种属: Human,Mouse
-
分类: 科研抗体货号: P17973别名: nfe2 ; Nuclear factor; p45 NFE2;;NFE2应用: WB,IHC/IHF,IF,IP反应种属: Human
-
分类: 科研抗体货号: P17990别名: CRMP 1; Crmp1; DPYSL1; DRP1; ULIP-3; Ulip3;;DRP 1应用: WB,IHC/IHF,IF,IP,FCM反应种属: Human,Mouse,Rat
-
分类: 科研抗体货号: P17972别名: HSPC150; PIG50; Ube2t;;UBE2T应用: WB反应种属: Human
-
分类: 科研抗体货号: P17989别名: AHC; AHX; DSS; GTD; HHG; AHCH; DAX1; DAX-1; NROB1; SRXY2;;NR0B1应用: WB,IHC/IHF,IF,FCM反应种属: Human
-
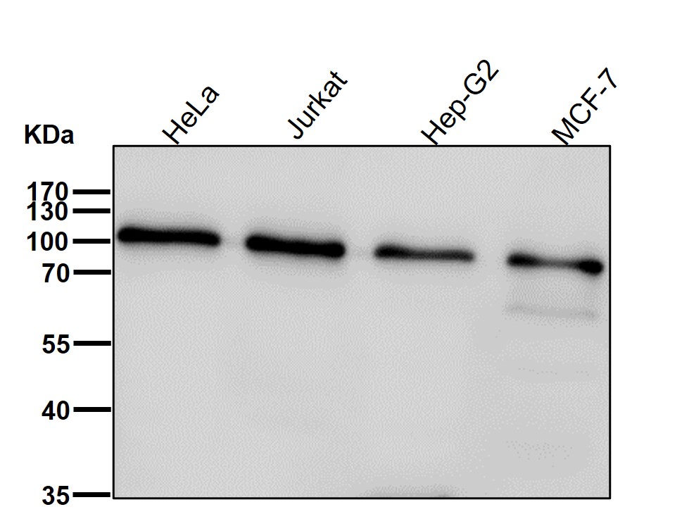
分类: 科研抗体货号: P17971别名: NCL; Nucl; Nucleolin; Protein C23;;NCL应用: WB,IHC/IHF,IF,反应种属: Human,Mouse,Rat
鄂公网安备42018502007531号

