-
分类: 科研抗体货号: P17955别名: AAG4; Aging-associated gene 4 protein; APOJ; ApoJalpha; ApoJbeta; Apolipoprotein J; CLI; CLU; Clusterin alpha chain; Clusterin; Complement cytolysis inhibitor a chain; Complement cytolysis inhibitor; Complement cytolysis inhibitor b chain; complement lysi应用: WB;IHC;IP反应种属: Mouse,Rat
-
分类: 科研抗体货号: P17980别名: CGI15; MYN; Palld; PNCA1; SIH002; Stx13bp1;;Palladin应用: WB反应种属: Human
-
分类: 科研抗体货号: P17987别名: MMP 17; Mmp17; MT MMP4; MT-MMP 4; MT4 MMP; MT4-MMP; MT4MMP; MTMMP4;;MMP17应用: WB,IHC/IHF,IF,反应种属: Human,Mouse,Rat
-
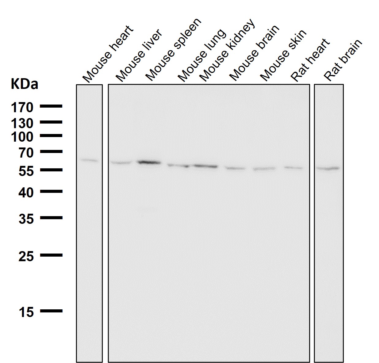
分类: 科研抗体货号: P17979别名: MIBP; nPTB; nPTB5; nPTB6; nPTB7; nPTB8; PTB; PTBLP; Ptbp2;;PTBP2应用: WB反应种属: Human,Mouse,Rat
-
分类: 科研抗体货号: P17986别名: RGD1565941; VAV 3; Vav3; VAV3 oncogene;;VAV3应用: WB,IF,IP,FCM反应种属: Human,Mouse
-
分类: 科研抗体货号: P17978别名: Cdc73; FIHP; HPTJT; HRPT1; HRPT2; Hyperparathyroidism 2; HYX;;Parafibromin应用: WB反应种属: Human,Mouse,Rat
-
分类: 科研抗体货号: P17985别名: MAPKAP K2; MAPKAP kinase 2; MAPKAPK 2; MAPKAPK2; Mitogen activated protein kinase activated protein kinase 2; MK 2;;MK2应用: WB;IP反应种属: Human,Mouse,Rat
-
分类: 科研抗体货号: P17977别名: Gtf2e1; TF2E1; TFIIE alpha;;TFIIE alpha应用: WB,IHC/IHF,IF,反应种属: Human,Mouse,Rat
-
分类: 科研抗体货号: P17970别名: 3 keto acyl CoA synthase ELOVL5; Elongation of very long chain fatty acids like 5; ELOVL 5; ELOVL family member 5; ELOVL family member 5 elongation of long chain fatty acids; ELOVL fatty acid elongase 5; ELOVL2; elovl5; Fatty acid elongase 1; hELO1; RP3 4应用: WB,IF反应种属: Human,Mouse,Rat
-
分类: 科研抗体货号: P17976别名: dut; dUTP nucleotidohydrolase; dUTP pyrophosphatase; dUTPase;;DUT应用: WB,IF,FCM反应种属: Human
鄂公网安备42018502007531号

