-
分类: 科研抗体货号: P17758别名: StAR; StARD1; START domain containing 1; Steroid acute regulatory protein;;STAR应用: WB;IHC反应种属: Human
-
分类: 科研抗体货号: P17738别名: COUP-TF1; EAR3; ERBAL3; NR2F1; NR2F2; Nuclear receptor subfamily 2 group F member 1; SVP44; TCFCOUP1; TFCOUP1; ;COUP TF1应用: WB,IHC/IHF,IF,FCM反应种属: Human,Mouse,Rat
-
分类: 科研抗体货号: P17775别名: LOR2; LOX L2; LOXL2; Lysyl oxidase homolog 2; Lysyl oxidase like 2; WS9 14;;LOXL2应用: WB,IF,FCM反应种属: Human,Mouse,Rat
-
分类: 科研抗体货号: P17757别名: LSIRF; Multiple myeloma oncogene 1; NF-EM5; IRF4; MUM1; Transcriptional activator PIP;;IRF4应用: WB,IHC/IHF,IF,IP,FCM反应种属: Human
-
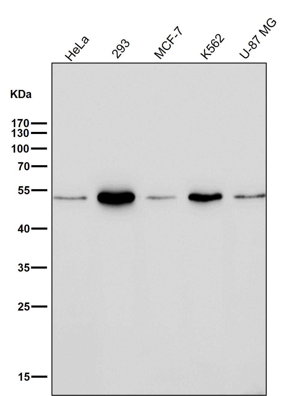
分类: 科研抗体货号: P17737别名: CCBR1; Cysteine/glutamate transporter; SLC7A11; solute carrier family 7; xCT; ;xCT应用: WB,IF,IP反应种属: Human,Mouse,Rat
-
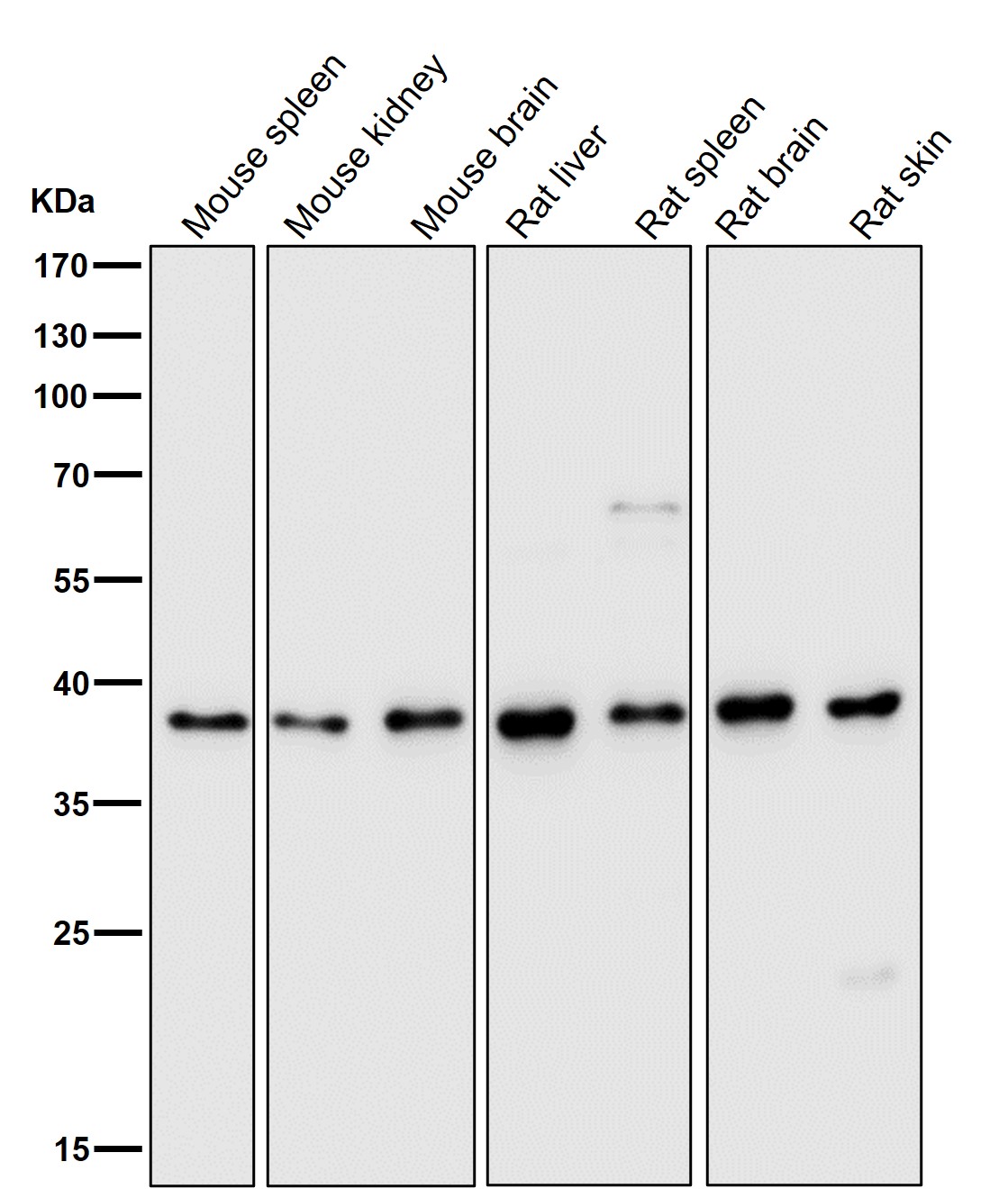
分类: 科研抗体货号: P17774别名: Efnb2; ephrin B2; EPLG5; Htk L; HTK ligand; HTK-L; HTKL; LERK5;;Ephrin B2应用: WB,IF反应种属: Human,Mouse,Rat
-
分类: 科研抗体货号: P17756别名: Protein NDRG1; Differentiation-related gene 1 protein; DRG-1; RTP; Rit42; NDRG1; CAP43; DRG1; RTP; targ1; TDD5; tdds;;NDRG1应用: WB,IHC/IHF,IF,IP反应种属: Human,Mouse,Rat
-
分类: 科研抗体货号: P17736别名: DNA directed DNA polymerase beta; DNA pol beta; DNA polymerase beta; Pol B; Pol beta; POLB; Polymerase (DNA directed) beta; ;DNA polymerase beta应用: WB,IHC/IHF,IF,IP反应种属: Human,Mouse,Rat
-
分类: 科研抗体货号: P17773别名: Homeobox protein OTX1; Orthodenticle 1; Orthodenticle homeobox 1; Orthodenticle1; otx1;;OTX1应用: WB;IHC;IP/ChIP反应种属: Human,Mouse,Rat
-
分类: 科研抗体货号: P17754别名: CLI; AAG4; APOJ; CLU1; CLU2; KUB1; SGP2; APO-J; SGP-2; SP-40;TRPM2; TRPM-2; NA1/NA2;;Clusterin应用: WB;IHC反应种属: Human,Mouse
鄂公网安备42018502007531号

