-
分类: 科研抗体货号: P17750别名: HB9; HLXB9; Homeobox HB9; Homeobox protein HB9; HOXHB9; MNX1; Motor neuron and pancreas homeobox protein 1; SCRA1;;MNX1应用: WB;IP反应种属: Human,Mouse
-
分类: 科研抗体货号: P17762别名: INSRR; Insulin receptor related receptor precursor; IR related receptor; IRR; Sirr;;Insulin receptor related protein应用: WB;IHC反应种属: Human,Mouse,Rat
-
分类: 科研抗体货号: P17743别名: CY6; TER1; CCR-8; CKRL1; CDw198; CMKBR8; GPRCY6; CMKBRL2; CC-CKR-8; TER1;;CCR8应用: WB,IF反应种属: Human,Mouse,Rat
-
分类: 科研抗体货号: P17749别名: CDC47 homolog; P1.1-MCM3; MCM7; CDC47; MCM2; P1CDC47; P85MCM; PNAS146; PPP1R104;;MCM7应用: WB,IHC/IHF,IF,IP,FCM反应种属: Human,Mouse,Rat
-
分类: 科研抗体货号: P17761别名: IP17; Ubiquitin cross-reactive protein; hUCRP; ISG15; G1P2;;ISG15应用: WB,IHC/IHF,IF,反应种属: Human
-
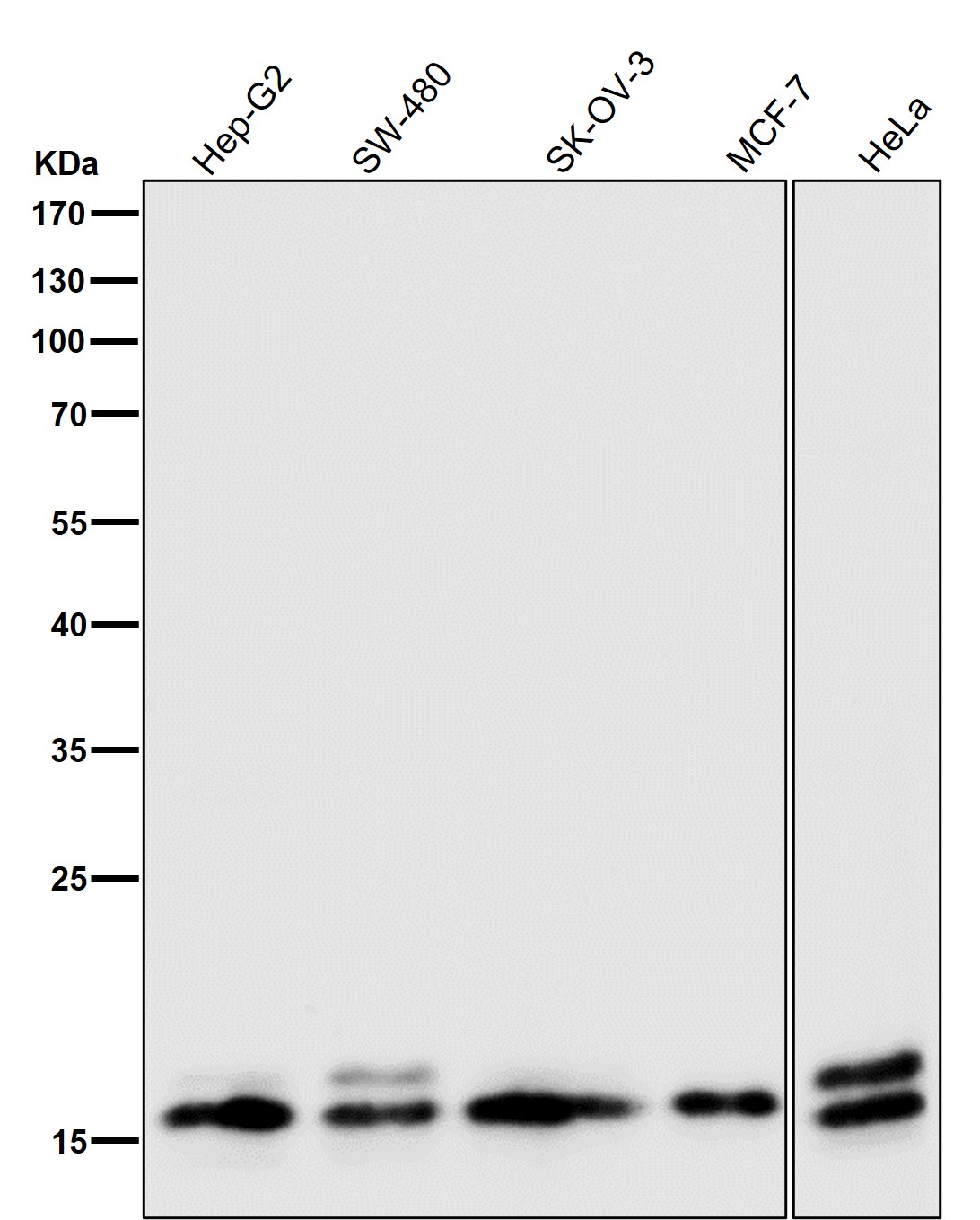
分类: 科研抗体货号: P17741别名: GABARAP; GABARAPL1; GABARAPL2;;GABARAP应用: WB,IHC/IHF,IF,FCM反应种属: Human,Mouse,Rat
-
分类: 科研抗体货号: P17777别名: LTrpC6; MGC2849; Transient receptor potential p8; Trp p8; Trpm8; TRPP8;;TRPM8应用: WB,IF反应种属: Human,Mouse
-
分类: 科研抗体货号: P17760别名: Apoferritin; F HC; Ferritin H subunit; FHC; FRIH; FTH; FTH1; FTHL6; N-terminally processed; PIG15; PLIF;;Ferritin heavy chain应用: WB;IHC反应种属: Human
-
分类: 科研抗体货号: P17739别名: Ascites sialoglycoprotein 1; Ascites sialoglycoprotein 2; Ascites sialoglycoprotein; ASGP; ASGP-1; ASGP-2; Muc4; Mucin 4 cell surface associated; Mucin 4 tracheobronchial; Mucin-4 beta chain; Testis mucin;;Mucin 4应用: WB反应种属: Human
-
分类: 科研抗体货号: P17776别名: Core protein II; QCR2; mitochondrial; Ubiquinol cytochrome c reductase core protein II; UQCR2; Uqcrc2; ;UQCRC2应用: WB,IHC/IHF,IF,IP,FCM反应种属: Human,Mouse,Rat
鄂公网安备42018502007531号

