-
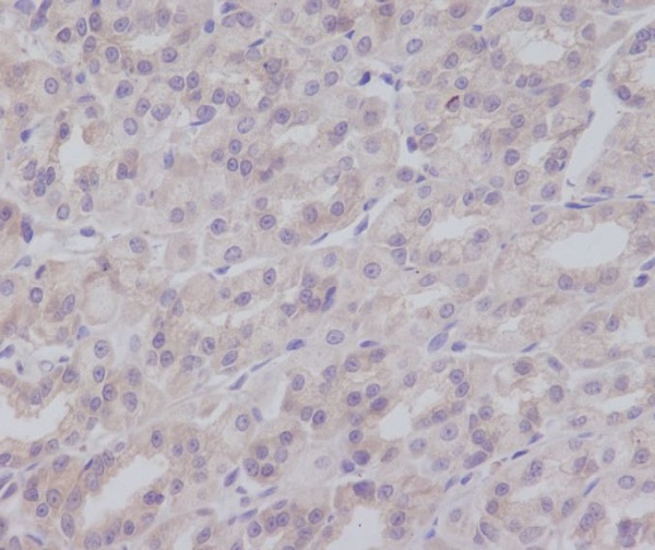
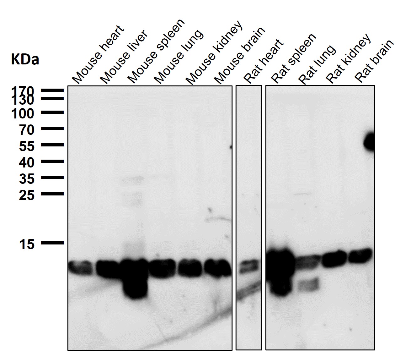
分类: 科研抗体货号: P17576别名: GluN1; NMD-R1; GRIN1; NMDAR1;GluN1应用: WB反应种属: Human,Mouse,Rat
-
分类: 科研抗体货号: P17604别名: ATF1; ATF2; gdnf; HFB1 GDNF; hGDNF; HSCR3;;GDNF应用: WB;FCM反应种属: Human,Mouse,Rat
-
分类: 科研抗体货号: P17590别名: LCA2; mRPE65; p63; rd12; Retinal pigment epithelium specific 61 kDa protein; RP20; RPE65; sRPE65;;RPE65应用: WB;IP反应种属: Human,Mouse,Rat
-
分类: 科研抗体货号: P17603别名: cytoplasmic 1; NF ATc; NF ATc1; NF-ATc; NF-ATc1; NFAC1; NFAT 2; NFAT2; NFATC 1; NFATc; NFATc1; ;NFAT2应用: WB,IF,FCM反应种属: Human
-
分类: 科研抗体货号: P17589别名: GIF; GLIF; Glycosylation inhibiting factor; L-dopachrome isomerase; MIF protein; MMIF;;MIF应用: WB;IP;FCM反应种属: Human,Mouse,Rat
-
分类: 科研抗体货号: P17600别名: Cas9; CRISPR-associated endonuclease Cas9/Csn1; CRISPR-Cas9/Csn1; csn1; SpyCas9;;CRISPR Cas9 SA应用: WB,IHC/IHF,IF,IP,FCM反应种属: Recombinant protein
-
分类: 科研抗体货号: P17617别名: Claudin1; CLD1l;CLDN 1; ILVASC; SEMP1;;Claudin 1应用: WB反应种属: Human,Mouse,Rat
-
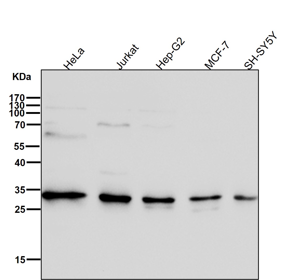
分类: 科研抗体货号: P17599别名: Actin binding protein; ALS18; Epididymis tissue protein Li 184a; PFN 1; Pfn; PFN1; Profilin1; ProfilinI;;Profilin 1应用: WB,IHC/IHF,IF,IP,FCM反应种属: Human,Mouse,Rat
-
分类: 科研抗体货号: P17615别名: Ribonuclease 3 (EC:3.1.26.3); Protein Drosha; Ribonuclease III; RNase III; p241; DROSHA; RN3; RNASE3L; RNASEN;;Drosha应用: WB,IHC/IHF,IF,FCM反应种属: Human
-
分类: 科研抗体货号: P17598别名: AMCBX1; FIP3; Fip3p; Ikbkg; IKK-gamma; IKKAP1; IKKG; IMD33; IP1; IP2; IPD2; NEMO; NF kappa B essential modifier;;IKK gamma应用: WB,IHC/IHF,IF,IP,FCM反应种属: Human,Mouse,Rat
鄂公网安备42018502007531号

