-
分类: 科研抗体货号: P17487别名: EC 2.7.11.13; KPCA; PKC III; PKC-A; PKC-III; PKC-alpha; PRKACA; PRKCA; Protein kinase C; alpha type; kinase PKC-alpha;;p-PKC alpha (T638)应用: WB,IHC/IHF,IF,IP反应种属: Human,Mouse,Rat
-
分类: 科研抗体货号: P17475别名: SLC9A3R1; EBP50; NPHLOP2; NHERF; NHERF-1; NHERF1;;NHERF 1应用: WB;IHC反应种属: Human,Rat
-
分类: 科研抗体货号: P17486别名: VAMP8; EDB; Endobrevin; VAMP-8;;VAMP8应用: WB,IHC/IHF,IF,IP,FCM反应种属: Human,Mouse,Rat
-
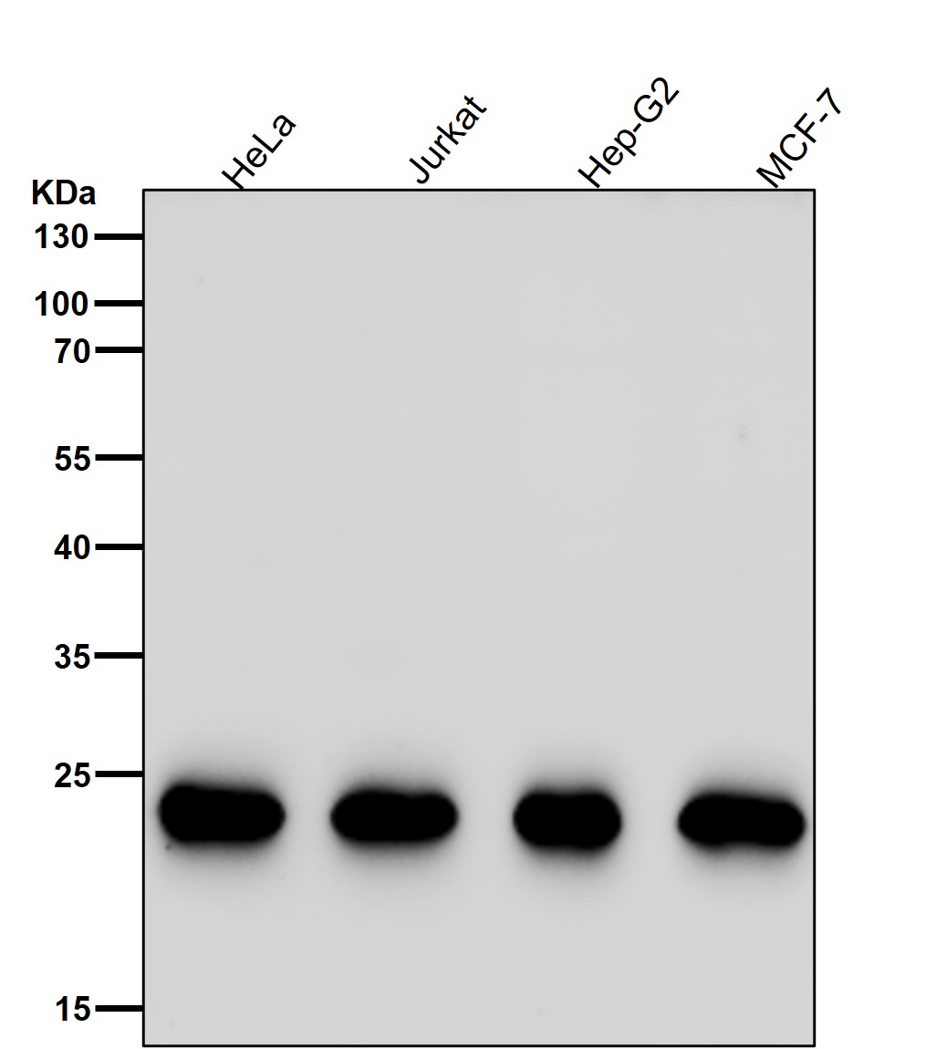
分类: 科研抗体货号: P17474别名: PAG; PAGA; PAGB; PRX1; PRXI; MSP23; NKEFA; TDPX2; NKEF-A; Peroxiredoxin1; PRDX1;;Peroxiredoxin 1应用: WB,IHC/IHF,IF,FCM反应种属: Human,Mouse
-
分类: 科研抗体货号: P17485别名: WFDC2; Epididymis-specific he4; Epididymal protein 4; DJ461P17.6; EDDM4; HE4; WAP5;;WFDC2应用: WB,IF,IP,FCM反应种属: Human,Mouse
-
分类: 科研抗体货号: P17503别名: T box brain 1; T-brain-1; TBR 1; Tbr1; TES 56;;TBR1应用: WB反应种属: Human,Mouse,Rat
-
分类: 科研抗体货号: P17484别名: CollagenX; COL10A1; COAA1; Collagen type X alpha 1;;Collagen X alpha 1应用: WB反应种属: Human,Mouse,Rat
-
分类: 科研抗体货号: P17502别名: 53BP2; ASPP2; p53BP2; PPP1R13A; Tp53bp2;;TP53BP2应用: WB,IHC/IHF,IF,反应种属: Human
-
分类: 科研抗体货号: P17483别名: GDF11; BMP11; Bone morphogenetic protein 11; GDF-11; BMP-11;;BMP11应用: WB,IHC/IHF,IF,反应种属: Human,Rat
-
分类: 科研抗体货号: P17501别名: Formimidoyltetrahydrofolate cyclodeaminase; FTCD; Glutamate formiminotransferase; LCHC 1;;FTCD应用: WB;IHC;FCM反应种属: Human
鄂公网安备42018502007531号

