-
分类: 科研抗体货号: P17399别名: JunB; Jun B; Jun B proto oncogene; Transcription factor jun-B;;JunB应用: WB,IF,IP反应种属: Human,Mouse,Rat
-
分类: 科研抗体货号: P17428别名: CDC5; CEF1; PCDC5RP; CDC5-LIKE; dJ319D22.1; CDC5L;;CDC5L应用: WB,IHC/IHF,IF,反应种属: Human,Mouse,Rat
-
分类: 科研抗体货号: P17420别名: Histone deacetylase 8; HD8; HDAC8; HDACL1; CDA07; RPD 3; MRXS6;;HDAC8应用: WB,IHC/IHF,IF,IP,FCM反应种属: Human
-
分类: 科研抗体货号: P17427别名: CDC45L; CDC45L2; PORC-PI-1; CDC45;;CDC45应用: WB,IHC/IHF,IF,FCM反应种属: Human,Mouse,Rat
-
分类: 科研抗体货号: P17419别名: Activator protein 1; AP 1; Jun D; jun D proto oncogene; Jund; JunD FL isoform; Transcription factor jun D;;JunD应用: WB,IHC/IHF,IF,反应种属: Human,Mouse,Rat
-
分类: 科研抗体货号: P17426别名: IDDM5; SMT3H4; SUMO-4; dJ281H8.4;;SUMO 4应用: WB,IF,IP,FCM反应种属: Human,Mouse,Rat
-
分类: 科研抗体货号: P17418别名: gp140trk; GP145-TrkB; GP145-TrkC; MTC; NTRK1; NTRK2; NTRK3; p140-TrkA; TRKA; TRKB; TrkB tyrosine kinase; TRKC;;Trk A/B/C应用: WB,IHC/IHF,IF,反应种属: Human,Mouse,Rat
-
分类: 科研抗体货号: P17425别名: CDC25HU2; CDC25M2; Dual specificity phosphatase Cdc25B; EC 3.1.3.48; M-phase inducer phosphatase 2; MPIP2;;CDC25B应用: WB;IP反应种属: Human
-
分类: 科研抗体货号: P17416别名: SIR2-like protein 5; SIR2L5; Sirt5; Sirtuin 5; Sirtuin type 5;;SIRT5应用: WB反应种属: Human,Mouse
-
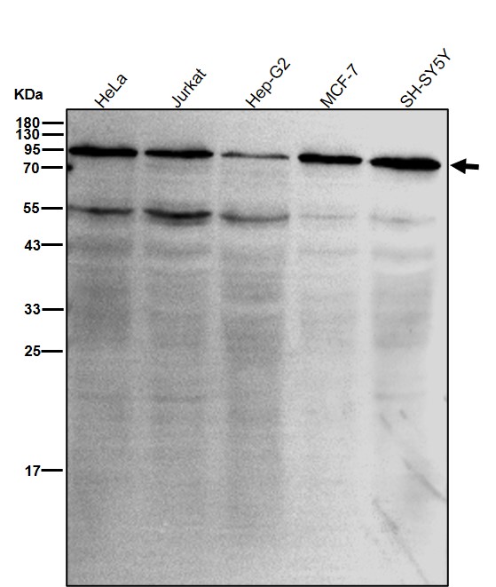
分类: 科研抗体货号: P17440别名: CDCA5; Cell division cycle associated protein 5; Cell division cycle-associated protein 5; p35; Sororin;;Sororin应用: WB,IHC/IHF,IF,FCM反应种属: Human
鄂公网安备42018502007531号

