-
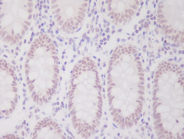
分类: 科研抗体货号: P17299别名: HNRNPC; HNRPC; Heterogeneous nuclear ribonucleoproteins C1/C2; ROC; hnRNP C1 / hnRNP C2; hnRNP-C1/C2;;hnRNP C1/C2应用: WB,IHC/IHF,IF,IP,FCM反应种属: Human,Mouse,Rat
-
分类: 科研抗体货号: P17298别名: HMN5; CMT2D; DSMAV; GlyRS; SMAD1;;GARS1应用: WB;IHC反应种属: Human,Mouse,Rat
-
分类: 科研抗体货号: P17312别名: A-kinase anchor protein 14; A-kinase anchor protein 14; A-kinase anchor protein 28 kDa; AKAP14; AKAP28;;AKAP 14应用: WB,IF,IP反应种属: Human,Mouse,Rat
-
分类: 科研抗体货号: P17297别名: RALBP1; RIP1; RLIP1; RLIP76;;RalBP1应用: WB;IHC;FCM反应种属: Human,Mouse,Rat
-
分类: 科研抗体货号: P17331别名: CASP5; Apoptosis related cysteine protease; CASP-5; Caspase-5 subunit p10; Protease ICH-3; TY protease;;Caspase 5应用: WB,IHC/IHF,IF,IP反应种属: Human
-
分类: 科研抗体货号: P17311别名: HBK1; HUKI; EA1; MK1; AEMK; MBK1; RBK1; KCNA1; potassium channel Kv1.1; potassium voltage-gated channel subfamily A member 1;;KCNA1应用: WB;IP反应种属: Human
-
分类: 科研抗体货号: P17325别名: TCF7L2; HMG box transcription factor 4; HTCF-4; T-cell factor-4 variant X2; T-cell factor 4; Transcription factor 7-like 2; TCF-4;;TCF7L2应用: WB,IHC/IHF,IF,IP,FCM反应种属: Human,Mouse,Rat
-
分类: 科研抗体货号: P17330别名: CGD; CGD91-phox; Cytochrome b-245 heavy chain; CGD91-phox; Cytochrome b558 subunit beta; Heme-binding membrane glycoprotein; NADPH oxidase 2; Neutrophil cytochrome b 91 kDa polypeptide;;NOX2应用: WB反应种属: Human,Mouse,Rat
-
分类: 科研抗体货号: P17310别名: Wolf Hirschhorn syndrome candidate 1 like 1; WHSC1L1; NSD3; pp14328; Histone-lysine N-methyltransferase NSD3; Protein whistle;;NSD3应用: WB;FCM反应种属: Human,Mouse,Rat
-
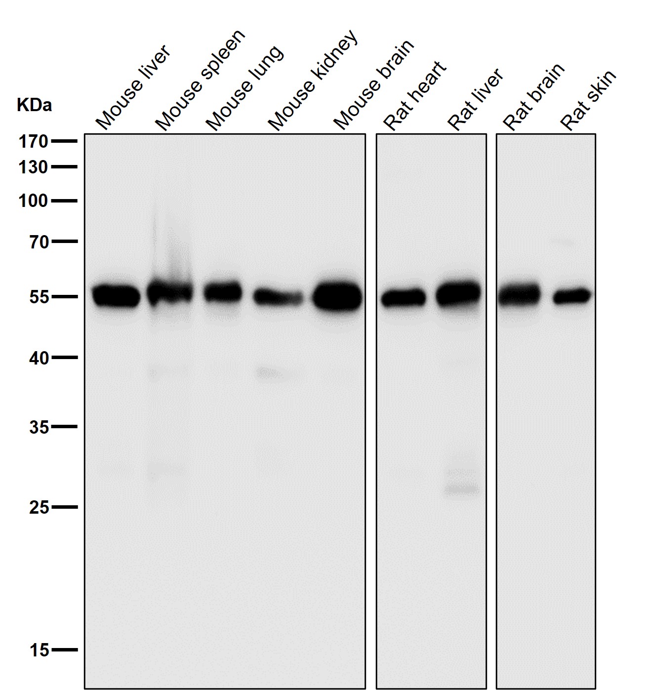
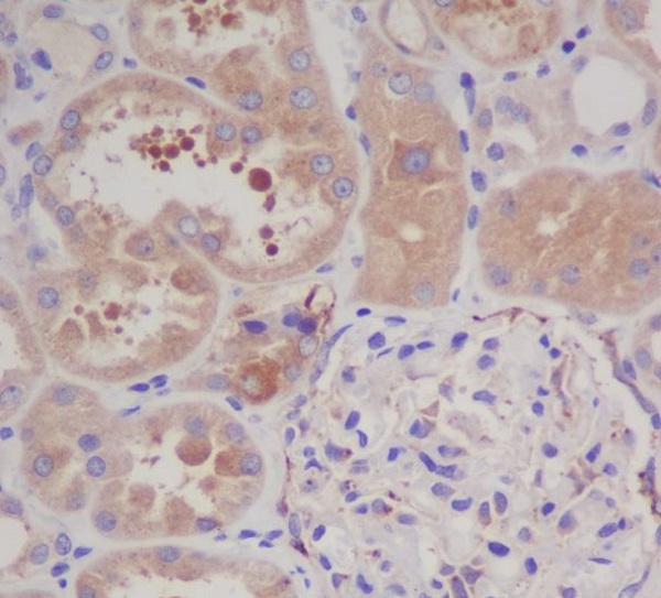
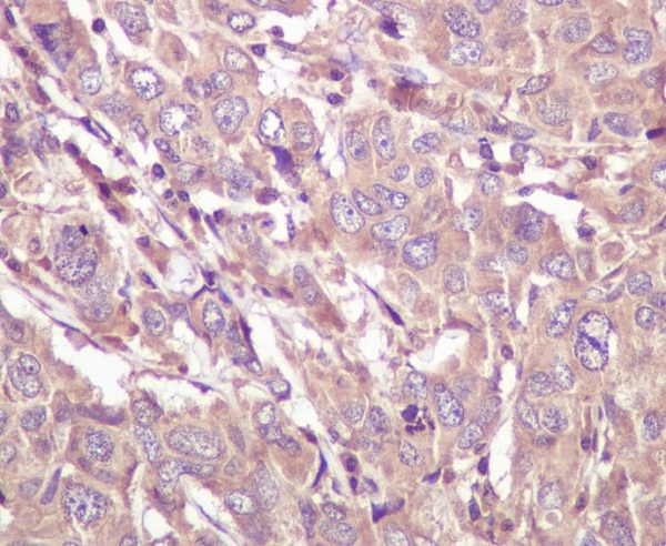
分类: 科研抗体货号: P17324别名: Glutaminase kidney isoform; GLS; GLS1, KGA; K-glutaminase; GAM; GAC; Glutaminase C; L-glutamine amidohydrolase;;GLS应用: WB,IHC/IHF,IF,反应种属: Human,Mouse,Rat
鄂公网安备42018502007531号

