产品中心
PRODUCT CENTER
首页 » 产品中心 » 抗体 » 科研抗体 »
  • 分类: 科研抗体
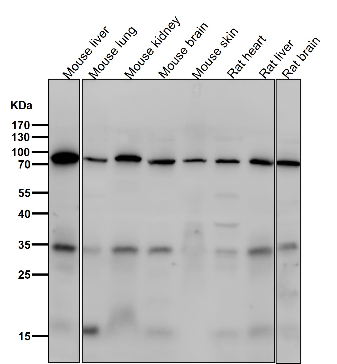
    货号: P17273
    别名: ACACA kinase; Acetyl-CoA carboxylase kinase; AMPK alpha 2 chain; AMPK subunit alpha-2; AMPK2; AMPKalpha2; HMGCR kinase; PRKAA; PRKAA2;;p-AMPK alpha 1/2 (T183/T172)
    应用: WB
    反应种属: Human,Mouse,Rat
  • 分类: 科研抗体
    货号: P17254
    别名: Early endosome antigen 1; EEA1; MST105; ZFYVE2;;Early endosome antigen 1
    应用: WB,IF
    反应种属: Human,Mouse,Rat
  • 分类: 科研抗体
    货号: P17266
    别名: HNC; CLG1; MMP-8; PMNL-CL; COLLAGENASE I; NEUTROPHIL; matrix metalloproteinase 8;;MMP8
    应用: WB,IHC/IHF,IF,IP,FCM
    反应种属: Human,Mouse,Rat
  • 分类: 科研抗体
    货号: P17253
    别名: AF6q21 protein; FKHR2; FKHRL1; Forkhead box O3; forkhead box O3A; Forkhead box protein O3A; Forkhead in rhabdomyosarcoma-like 1; FOXO3A;;p-FOXO3A (S253)
    应用: WB;IHC
    反应种属: Human,Mouse,Rat
  • 分类: 科研抗体
    货号: P17272
    别名: HBA2; Alpha globin; Alpha-2 globin; HBH; Hemoglobin alpha chain; Hemoglobin A1c; Hemoglobin subunit alpha; Hemoglobin alpha 2; Alpha-globin;;Hemoglobin alpha
    应用: WB;IHC;IP;FCM
    反应种属: Human,Mouse,Rat
  • 分类: 科研抗体
    货号: P17265
    别名: BCL2A1; ACC-1; ACC-2; Bcl-2-like protein 5; Bcl-2-related protein A1; BCL2-related protein A1; BFL1; Bcl2-L-5; BCL2L5; GRS; HBPA1; Protein BFL-1; Protein GRS;;Bcl 2 A1
    应用: WB,IHC/IHF,IF,FCM
    反应种属: Human,Mouse,Rat
  • 分类: 科研抗体
    货号: P17251
    别名: Oncogene PIM1; PIM; pim-1 kinase 44 kDa isoform; pim-1 oncogene; pim-1 oncogene (proviral integration site 1); PIM1;;PIM1
    应用: WB,IHC/IHF,IF,
    反应种属: Human,Mouse
  • 分类: 科研抗体
    货号: P17271
    别名: TSC2; Tuberous sclerosis 2 homolog protein; Tuberous sclerosis 2 protein; Tuberin;;Tuberin
    应用: WB;IHC;FCM
    反应种属: Human,Mouse,Rat
  • 分类: 科研抗体
    货号: P17264
    别名: CMH-1; ICE-LAP3; MCH3; CASP7; Caspase-7; Caspase7;;Caspase 7
    应用: WB;IHC;IP
    反应种属: Mouse,Rat
  • 分类: 科研抗体
    货号: P17279
    别名: STK3; Mess1; MST-2; MST2; Serine/threonine kinase 3; KRS1; STE20-like kinase MST2;;STK3
    应用: WB,IHC/IHF,IF,IP,FCM
    反应种属: Human,Mouse,Rat
联系我们
  • 电话:17771420241 18911818852
  • 联系人:刘经理
  • 地址:湖北省武汉市东湖新技术开发区高新大道666号光谷生物城C6栋C6403、C6404
微信公众号
版权所有 © 武汉博开生物科技有限公司  备案编号:鄂ICP备2024052832号-1鄂公网安备42018502007531号
17771420241 18911818852