-
分类: 科研抗体货号: P16113别名:应用: WB反应种属: Human
-
分类: 科研抗体货号: P16047别名:应用: IHC反应种属: Human
-
分类: 科研抗体货号: P16061别名:应用: WB,IHC,IP反应种属: Human
-
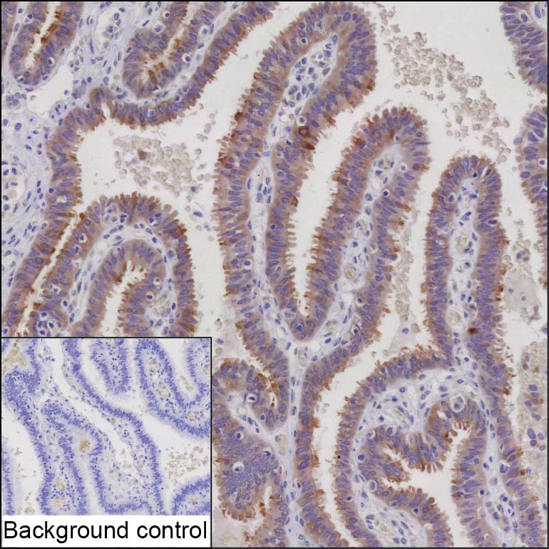
分类: 科研抗体货号: P16111别名:应用: IHC反应种属: Human
-
分类: 科研抗体货号: P16045别名:应用: IHC反应种属: Human
-
分类: 科研抗体货号: P16056别名:应用: WB,IHC,IP反应种属: Human
-
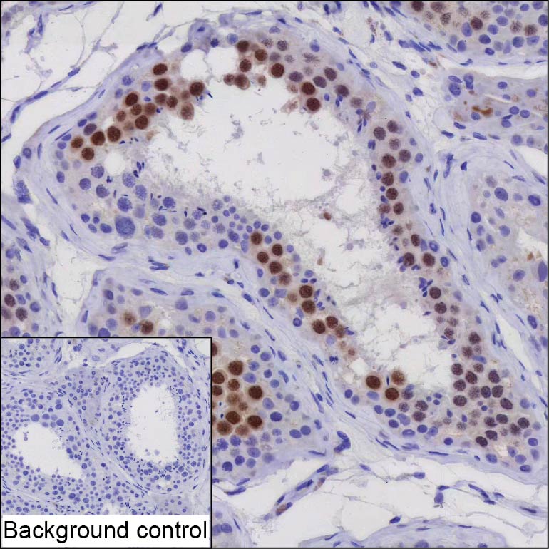
分类: 科研抗体货号: P16110别名:应用: IHC反应种属: Human
-
分类: 科研抗体货号: P16043别名:应用: IHC反应种属: Human
-
分类: 科研抗体货号: P16149别名:应用: WB,IP反应种属: Mouse, Human
-
分类: 科研抗体货号: P16103别名:应用: WB,IHC反应种属: Human
鄂公网安备42018502007531号

