-
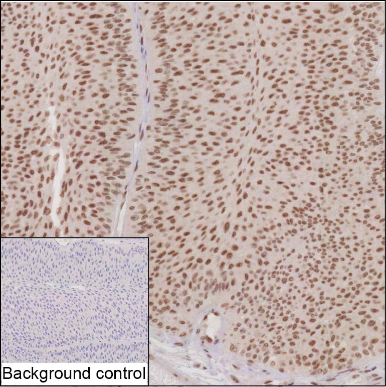
分类: 科研抗体货号: P15963别名:应用: IHC反应种属: Human
-
分类: 科研抗体货号: P15976别名:应用: WB反应种属: Human
-
分类: 科研抗体货号: P15983别名:应用: IP反应种属: Human
-
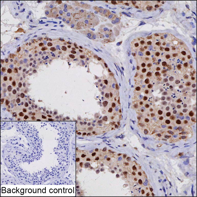
分类: 科研抗体货号: P15962别名:应用: IHC反应种属: Human
-
分类: 科研抗体货号: P15975别名:应用: IP反应种属: Human
-
分类: 科研抗体货号: P15980别名:应用: IP反应种属: Human, Mouse
-
分类: 科研抗体货号: P15992别名:应用: IHC反应种属: Human
-
分类: 科研抗体货号: P15974别名:应用: IP反应种属: Human
-
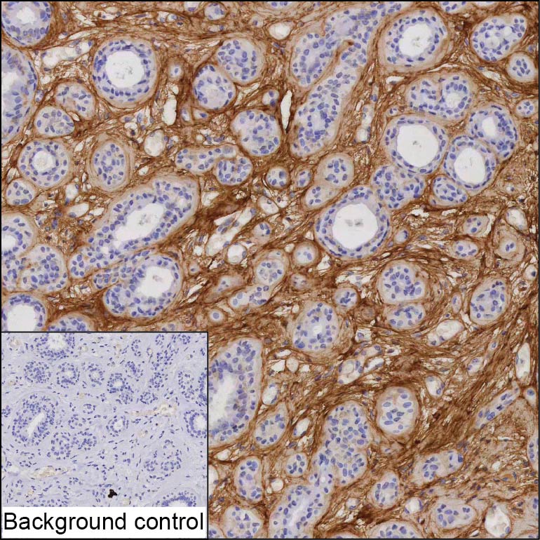
分类: 科研抗体货号: P15991别名:应用: IHC反应种属: Human
-
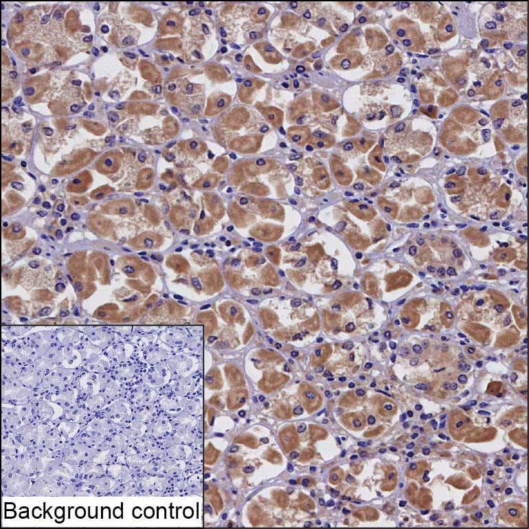
分类: 科研抗体货号: P16012别名:应用: IHC反应种属: Human
鄂公网安备42018502007531号

