-
分类: 科研抗体货号: P15844别名:应用: IHC反应种属: Human
-
分类: 科研抗体货号: P15799别名:应用: IP反应种属: Human, Mouse
-
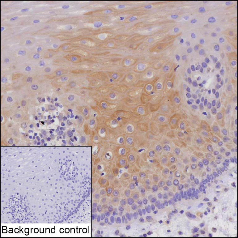
分类: 科研抗体货号: P15824别名:应用: IHC反应种属: Human
-
分类: 科研抗体货号: P15843别名:应用: WB反应种属: Human
-
分类: 科研抗体货号: P15798别名:应用: IP反应种属: Human
-
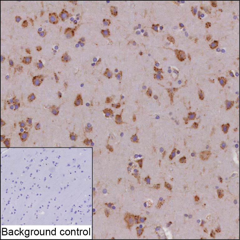
分类: 科研抗体货号: P15823别名:应用: IHC反应种属: Human
-
分类: 科研抗体货号: P15842别名:应用: IP反应种属: Human
-
分类: 科研抗体货号: P15796别名:应用: IP反应种属: Human
-
分类: 科研抗体货号: P15821别名:应用: IHC反应种属: Human
-
分类: 科研抗体货号: P15841别名:应用: IHC反应种属: Human
鄂公网安备42018502007531号

