-
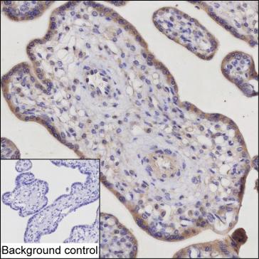
分类: 科研抗体货号: P15154别名:应用: WB,IHC反应种属: Human
-
分类: 科研抗体货号: P15170别名:应用: IHC,IP反应种属: Human
-
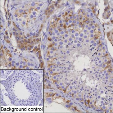
分类: 科研抗体货号: P15153别名:应用: IHC反应种属: Human
-
分类: 科研抗体货号: P15169别名:应用: WB,IHC,IP反应种属: Human
-
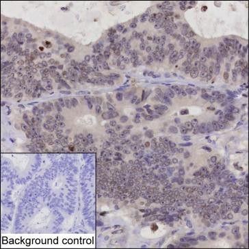
分类: 科研抗体货号: P15195别名:应用: IHC反应种属: Mouse
-
分类: 科研抗体货号: P15166别名:应用: WB,IHC,IP反应种属: Human
-
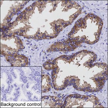
分类: 科研抗体货号: P15194别名:应用: IHC反应种属: Human
-
分类: 科研抗体货号: P15165别名:应用: IP反应种属: Human
-
分类: 科研抗体货号: P15192别名:应用: WB,IHC,IP反应种属: Human
-
分类: 科研抗体货号: P15163别名:应用: WB,IP反应种属: Human, Mouse
鄂公网安备42018502007531号

