-
分类: 科研抗体货号: 30160别名: AIK; ARK1; AURA; BTAK; STK6; STK7; STK15; AURORA2; MGC34538; AURKA应用: WB,IF,FCM反应种属: Human,Mouse,Rat,Monkey
-
分类: 科研抗体货号: 30159别名: GSY; GYS; GYS1应用: WB,FCM反应种属: Human
-
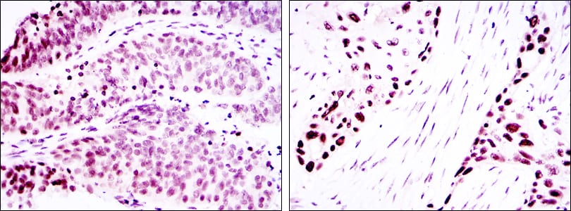
分类: 科研抗体货号: 30176别名: P51B; KET; p63α应用: WB,IHC反应种属: Human,Mouse,Rat,Monkey
-
分类: 科研抗体货号: 30158别名: GR; GCR; GRL; GCCR; NR3C1应用: WB,IHC,IF,FCM反应种属: Human
-
分类: 科研抗体货号: 30191别名: LH2; hLhx2; MGC138390; LHX2应用: IF反应种属: Human
-
分类: 科研抗体货号: 30174别名: CD94; KLRD1应用: FCM反应种属: Human
-
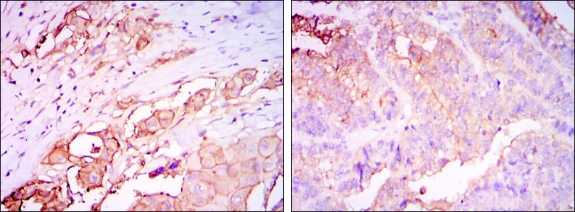
分类: 科研抗体货号: 30157别名: CEA; CD66e; DKFZp781M2392; CEACAM5应用: IHC反应种属: Human
-
分类: 科研抗体货号: 30190别名: EF2; EEF-2; EEF2应用: WB,IHC,IF反应种属: Human
-
分类: 科研抗体货号: 30172别名: AMPK; AMPKa1; MGC33776; MGC57364; PRKAA1应用: WB,IHC,IF,FCM反应种属: Human,Mouse,Rat,Monkey
-
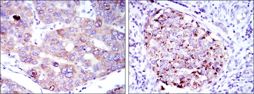
分类: 科研抗体货号: 30156别名: CEA; CD66e; DKFZp781M2392; CEACAM5应用: IF反应种属: Human
鄂公网安备42018502007531号

