-
分类: 科研抗体货号: 20021别名: HGF; HSF; BSF2; IL-6; IFNB2应用: WB反应种属: Human,Mouse,Rat,Monkey
-
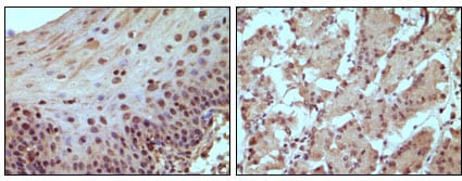
分类: 科研抗体货号: 20032别名: RB; pRb; OSRC; pp110; p105-Rb; RB1应用: IHC反应种属: Human
-
分类: 科研抗体货号: 20015别名: K8应用: WB,ICC反应种属:
-
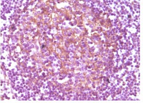
分类: 科研抗体货号: 20020别名: CD14应用: IHC,FCM反应种属: Human
-
分类: 科研抗体货号: 20031别名: CHEK1应用: WB反应种属: Human,Mouse
-
分类: 科研抗体货号: 20009别名: IFG; IFI应用: WB,IHC-P/IHF反应种属: Human
-
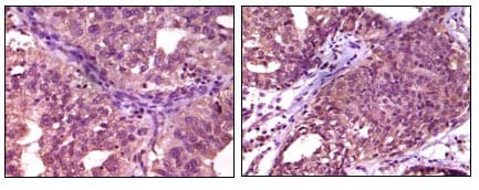
分类: 科研抗体货号: 20053别名: EPH; EPHT; EPHT1应用: WB,IHC反应种属: Human
-
分类: 科研抗体货号: 20029别名:应用: WB反应种属:
-
分类: 科研抗体货号: 20007别名: CD4mut应用: FCM反应种属: Human
-
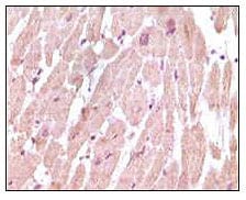
分类: 科研抗体货号: 20050别名: CMH7; RCM1; cTnI; CMD2A; TNNC1应用: IHC反应种属: Human
鄂公网安备42018502007531号

