-
分类: 科研抗体货号: 30667别名: TUBE; dJ142L7.2应用: IHC,FCM反应种属: Human
-
分类: 科研抗体货号: 30650别名: MEK5; MAPKK5; PRKMK5; HsT17454应用: WB,IHC,FCM反应种属: Human
-
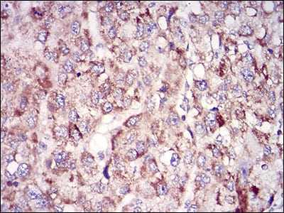
分类: 科研抗体货号: 30666别名: CCNE应用: IHC,FCM反应种属: Human
-
分类: 科研抗体货号: 30675别名: CCNE应用: WB,FCM反应种属: Human,Mouse
-
分类: 科研抗体货号: 30664别名: PKR; PRKR; EIF2AK1应用: WB,FCM反应种属: Human
-
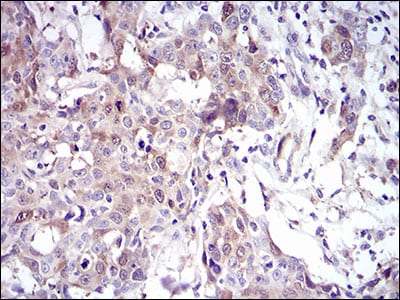
分类: 科研抗体货号: 30674别名: GS2; RAM; RAB27; HsT18676应用: IHC反应种属: Human
-
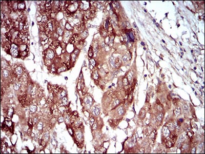
分类: 科研抗体货号: 30663别名: IREL; I-REL; REL-B应用: IHC,IF,FCM反应种属: Human
-
分类: 科研抗体货号: 30673别名: PERC; ERRL1; PGC1B; PGC-1(beta)应用: FCM反应种属: Human
-
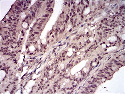
分类: 科研抗体货号: 30693别名: UBCH10; dJ447F3.2应用: WB,IHC反应种属: Human
-
分类: 科研抗体货号: 30672别名: NBIA3应用: WB,IHC,FCM反应种属: Human
鄂公网安备42018502007531号

