-
分类: 科研抗体货号: 20152别名: TYK3; FER应用: WB,IHC,IF反应种属: Human,Mouse
-
分类: 科研抗体货号: 20135别名: BYK; Brt; Dtk; RSE; Sky; Tif; FLJ16467应用: IF反应种属: Human
-
分类: 科研抗体货号: 20171别名:应用:反应种属:
-
分类: 科研抗体货号: 20151别名: TKT; MIG20a; NTRKR3; TYRO10应用: IHC,IF,FCM反应种属: Human,Mouse,Rat,Rabbit
-
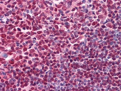
分类: 科研抗体货号: 20163别名: B1; S7; Bp35; CD20; MS4A2; LEU-16; MGC3969; MS4A1应用: IHC,IF反应种属: Human
-
分类: 科研抗体货号: 20170别名:应用:反应种属:
-
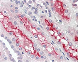
分类: 科研抗体货号: 20150别名: SORL1应用: IHC,IF反应种属: Human
-
分类: 科研抗体货号: 20162别名:应用:反应种属:
-
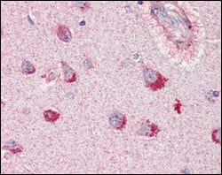
分类: 科研抗体货号: 20168别名: NOK; SuRTK106; DKFZp761P1010应用: IHC反应种属: Human
-
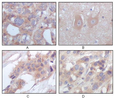
分类: 科研抗体货号: 20149别名: IGF1R应用: IHC反应种属: Human
鄂公网安备42018502007531号

