-
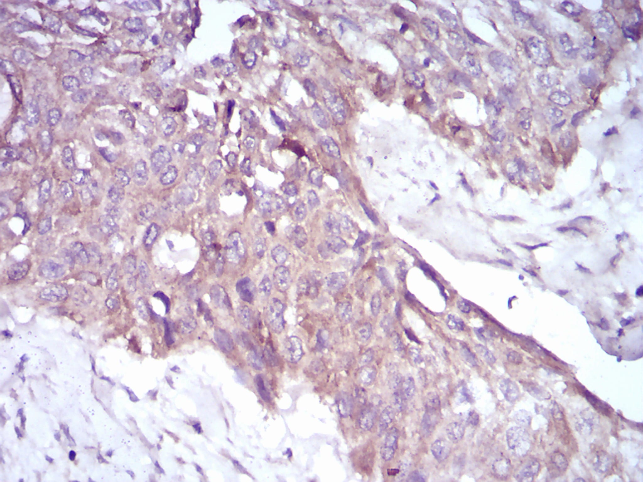
分类: 科研抗体货号: 30740别名: FPC; Tigm1; AI118496; AI182499应用: IHC,IF,FCM反应种属: Human
-
分类: 科研抗体货号: 30739别名: PC1; Mflj00285应用: FCM反应种属: Human
-
分类: 科研抗体货号: 30753别名: PP4; ANX5; ENX2; RPRGL3; HEL-S-7应用: WB,FCM反应种属: Human
-
分类: 科研抗体货号: 30738别名: HIST3H3;H3t; H3.4; H3/g; H3FT应用: WB,FCM反应种属: Human,Mouse
-
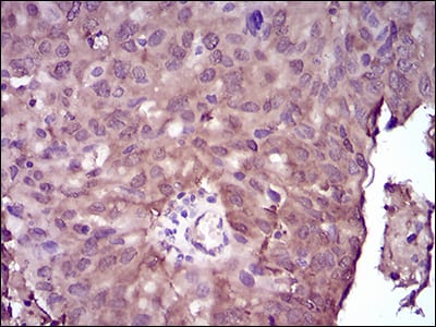
分类: 科研抗体货号: 30767别名: FH; FHC; LDLCQ2应用: IHC,FCM反应种属: Human
-
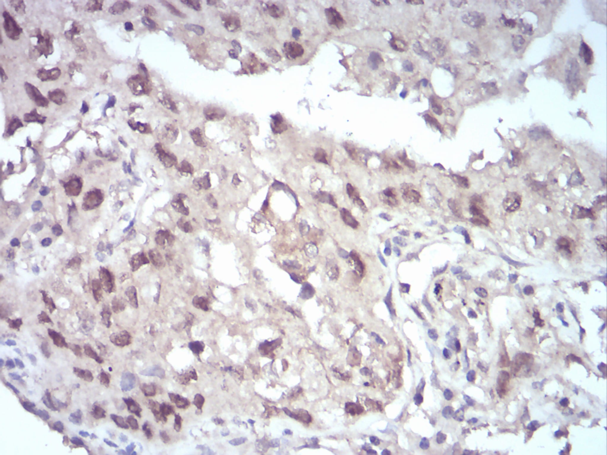
分类: 科研抗体货号: 30752别名: WVS; ENX1; EZH1; KMT6; WVS2; ENX-1; EZH2b; KMT6A应用: IHC,FCM反应种属: Human
-
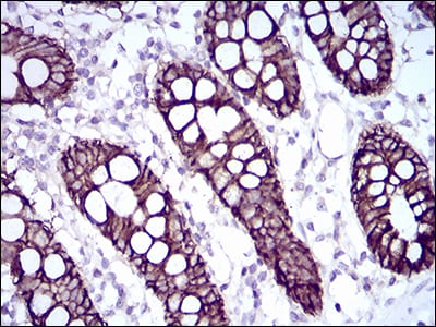
分类: 科研抗体货号: 30737别名: HPT1; CDH16; HPT-1应用: IHC反应种属: Human
-
分类: 科研抗体货号: 30766别名: TIP; ESA1; PLIP; KAT5; cPLA2; HTATIP; ZC2HC5; HTATIP1应用: WB,FCM反应种属: Human
-
分类: 科研抗体货号: 30751别名: HHG; LHR; LCGR; LGR2; ULG5; LHRHR; LSH-R; LH/CGR; LH/CG-R应用: WB,IF,FCM反应种属: Human
-
分类: 科研抗体货号: 30736别名: PUF; NDKB; NDPKB; NM23B; NDPK-B; NM23-H2应用: WB,IHC反应种属: Human
鄂公网安备42018502007531号

